子宮頸癌

子宮頸癌症狀、原因、治療與預防保健 · 子宮頸癌完整疾病指南 · 子宮頸癌專業就醫指南

子宮頸癌就診指南

掛號科室:
常見症狀:
陰道流血、尿頻、尿急
好發人群:
30~55歲
是否遺傳:
無傳染性
是否傳染:
有遺傳性
發病部位:
生殖
相關檢查:
宮頸刮片、陰道鏡檢查

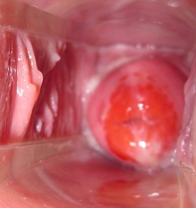
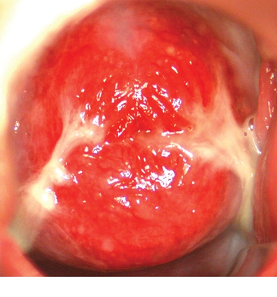
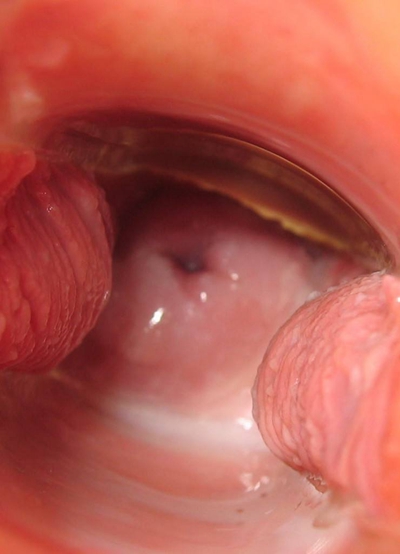
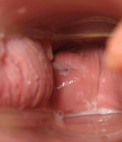
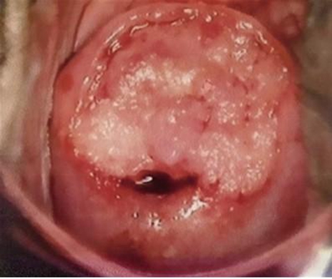
子宮頸癌圖片

宮頸癌
宮頸癌
宮頸癌
宮頸癌
宮頸癌
宮頸癌
宮頸癌
宮頸癌
宮頸癌
宮頸癌
宮頸癌
宮頸癌
宮頸癌
宮頸癌
宮頸癌
宮頸癌
宮頸癌
宮頸癌
宮頸癌
宮頸癌
宮頸癌
宮頸癌
宮頸癌
宮頸癌
宮頸癌
宮頸癌
宮頸癌
宮頸癌
宮頸癌
宮頸癌
宮頸癌
宮頸癌
宮頸癌
宮頸癌
宮頸癌
宮頸癌
宮頸癌
宮頸癌
宮頸癌
宮頸癌

子宮頸癌相關問答

A:宮頸癌是目前唯一一個病因明確的惡性腫瘤,宮頸癌的病因就是人乳頭瘤病毒,又叫HPV病毒,宮頸癌就是高危亞型的持續性感染導致的。現在有宮頸癌疫苗就是預防HPV病毒的,宮頸癌疫苗可以分為二價、四價、九價疫苗,它們分別有一些注射的年齡限制,像二價疫……
A:患者HPV感染一般是不可以打宮頸癌疫苗的,學者認為70%的女性一生當中有過HPV感染,而注射HPV疫苗常常有年齡的限制,特別是二價、四價疫苗,有時最高可以在45歲以內注射。通常這類的女性,常常已經有性暴露,有性暴露的女性如果有HPV感染,要……
A:早期的宮頸癌,例如Ⅰ期宮頸癌包括Ⅰa期和Ⅰb期,往往治療的效果會比較理想。Ⅰa期的宮頸癌甚至能夠達到完全治癒,Ⅰb期的宮頸癌治癒率也能夠達到80%-90%。宮頸癌治癒的前提是需要經過規範的治療,需要進行早期的發現、評估,並且在正規的醫院進……
A:子宮惡性腫瘤的生存期跟惡性腫瘤的病理類型和期別有關係,以最常見的子宮內膜癌和宮頸癌為例。子宮內膜癌ⅠA期五年生存率是88%,ⅠB期是75%,Ⅱ期是69%,Ⅲ期又分為ⅢA期、ⅢB期、ⅢC期,五年生存率是47%-58%,以及Ⅳ期又分為ⅣA期和Ⅳ……
A:早期宮頸癌常無明顯的症狀和體徵。子宮頸管型患者因子宮頸外觀正常易漏診或誤診,隨病變發展可出現以下表現:一、陰道流血:常表現為接觸性出血,即性生活或婦科檢查後陰道流血,也可表現為不規則陰道流血,或經期延長、經量增多,老年患者常為絕經後不規則……
A:宮頸癌疫苗分為2價、4價和9價疫苗,2價疫苗主要針對於HPV16和18型,這是導致宮頸癌的主要HPV感染類型,在我國2價疫苗的接種年齡是9-45歲。4價疫苗除了覆蓋HPV16和18型以外,還覆蓋HPV6型和11型,後兩者HPV感染是導致生殖……
A:預防宮頸癌的疫苗又叫HPV疫苗,分為2價、4價、9價疫苗。2價疫苗可以預防兩種類型的HPV病毒的感染,比如16型病毒和18型病毒。4價疫苗可以預防四種HPV病毒,除了預防16型病毒和18型病毒之外,還可以預防兩個低危亞型,也就是6型和11型……
A:宮頸癌會不會傳染,其實是需要根據兩個方面來進行解答的,就單純的宮頸惡性腫瘤來看,由於是自身的惡性腫瘤,所以腫瘤並不會導致傳染。但是從另外一個方面來講,因為目前流行病學的原因,已經找到了宮頸癌的發病原因。宮頸癌絕大多數都是由於高危亞型的人乳頭……

子宮頸癌相關醫院推薦

桃園市龜山區復興街5號
醫療中心
臺中市西屯區臺灣大道四段1650號
榮民醫院
台南市北區勝利路138號
大學附設醫院
臺北市北投區石牌路二段201號
榮民醫院
臺北市內湖區內湖路二段360號
大學附設醫院
臺北市中正區中山南路7號
大學附設醫院