乳房濕疹

乳房濕疹症狀、原因、治療與預防保健 · 乳房濕疹完整疾病指南 · 乳房濕疹專業就醫指南

乳房濕疹就診指南

掛號科室:
常見症狀:
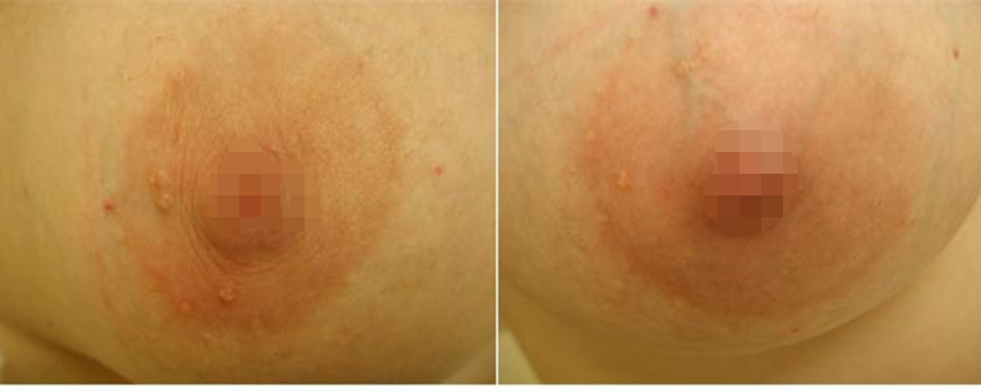
丘疹、丘皰疹
好發人群:
哺乳婦女
是否遺傳:
無傳染性
是否傳染:
無遺傳性
發病部位:
乳房
相關檢查:
皮膚組織檢查

乳房濕疹圖片

乳房溼疹 (50)
乳房溼疹 (50)
乳房溼疹 (6)
乳房溼疹 (6)
乳房溼疹 (7)
乳房溼疹 (7)
乳房溼疹 (8)
乳房溼疹 (8)
乳房溼疹 (9)
乳房溼疹 (9)
乳房溼疹 (49)
乳房溼疹 (49)
乳房溼疹 (5)
乳房溼疹 (5)
乳房溼疹 (48)
乳房溼疹 (48)
乳房溼疹 (44)
乳房溼疹 (44)
乳房溼疹 (45)
乳房溼疹 (45)
乳房溼疹 (46)
乳房溼疹 (46)
乳房溼疹 (47)
乳房溼疹 (47)
乳房溼疹 (41)
乳房溼疹 (41)
乳房溼疹 (42)
乳房溼疹 (42)
乳房溼疹 (43)
乳房溼疹 (43)
乳房溼疹 (38)
乳房溼疹 (38)
乳房溼疹 (39)
乳房溼疹 (39)
乳房溼疹 (4)
乳房溼疹 (4)
乳房溼疹 (40)
乳房溼疹 (40)
乳房溼疹 (37)
乳房溼疹 (37)

乳房濕疹相關問答

A:乳房外溼疹與溼疹樣乳腺癌是兩個疾病。乳房外溼疹是一種良性病變,通過治療是可以治癒的。而溼疹樣乳腺癌是表現為溼疹樣的一種乳腺癌,其臨床表現與乳房外溼疹類似,病變初起時,乳頭瘙癢、燒灼感,以後表皮變潮紅,病情再發展,則皮膚粗糙變厚,有脫屑、糜爛……
A:乳暈發生溼疹,也是乳房溼疹的一種類型。班會表現為糜爛瘙癢,可能會有輕微的滲出。這種情況可以外用3%的硼酸溶液溼敷,之後塗擦氧化鋅糊,等待皮損乾燥之後可以外用黃連氧化鋅乳膏,丁酸氫化可的松乳膏等藥物塗擦治療。瘙癢嚴重的還可以口服西替利嗪片,四……
A:乳房溼疹常見於哺乳期女性,與局部乳汁刺激、炎熱、瘙抓、摩擦等有關係。表現在乳頭,乳暈或乳房下方的皮膚出現小丘疹、紅斑、結痂、滲出、脫屑、瘙癢等,嚴重的甚至會出現糜爛或者皸裂,容易反覆發作,停止哺乳後多可自愈。這種需要跟乳頭溼疹樣癌鑑別診斷,……
A:哺乳期間若出現了乳房發癢,不除外是合併的乳汁淤積,以及乳腺炎前期的表現,所以說應該保持每天組乳汁排空通暢,並且可以用吸引器吸盡乳汁,同時也可以進行局部的熱敷等物理治療的辦法。另外在哺乳期間也應該注意遠離辛辣刺激性的食物,因為這些食物也會導致……

乳房濕疹相關醫院推薦

桃園市龜山區復興街5號
醫療中心
臺中市西屯區臺灣大道四段1650號
榮民醫院
台南市北區勝利路138號
大學附設醫院
臺北市北投區石牌路二段201號
榮民醫院
臺北市內湖區內湖路二段360號
大學附設醫院
臺北市中正區中山南路7號
大學附設醫院