大皰性皮膚病

大皰性皮膚病症狀、原因、治療與預防保健 · 大皰性皮膚病完整疾病指南 · 大皰性皮膚病專業就醫指南

大皰性皮膚病就診指南

掛號科室:
常見症狀:
鬆弛性大皰,易破裂
好發人群:
中老年人
是否遺傳:
無傳染性
是否傳染:
無遺傳性
發病部位:
皮膚
相關檢查:
組織病理、免疫熒光檢查

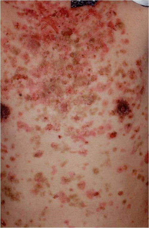
大皰性皮膚病圖片

大皰性皮膚病
大皰性皮膚病
大皰性皮膚病症狀
大皰性皮膚病症狀
大皰性皮膚病防治
大皰性皮膚病防治
陰莖部扁平大皰性皮膚病
陰莖部扁平大皰性皮膚病
大皰性皮膚病膿皰病
大皰性皮膚病膿皰病
腋窩皰疹大皰性皮膚病
腋窩皰疹大皰性皮膚病
腿部大皰性皮膚病病
腿部大皰性皮膚病病
皰疹樣大皰性皮膚病嚴重
皰疹樣大皰性皮膚病嚴重
皰疹樣皮炎局部症狀
皰疹樣皮炎局部症狀
手臂大皰性皮膚病
手臂大皰性皮膚病
手部大皰性皮膚病
手部大皰性皮膚病
手部掌趾大皰性皮膚病
手部掌趾大皰性皮膚病
早期艾滋病大皰性皮膚病
早期艾滋病大皰性皮膚病
顯性營養不良大皰性皮膚病腳踝部
顯性營養不良大皰性皮膚病腳踝部
手嚴重大皰性皮膚病
手嚴重大皰性皮膚病
手掌足蹠大皰性皮膚病
手掌足蹠大皰性皮膚病
大皰性皮膚病落葉狀天皰瘡局部潰爛
大皰性皮膚病落葉狀天皰瘡局部潰爛
大皰性皮膚病頸部皰疹樣膿皰病
大皰性皮膚病頸部皰疹樣膿皰病
女性紅斑型大皰性皮膚病
女性紅斑型大皰性皮膚病
大皰性皮膚病腿部
大皰性皮膚病腿部

大皰性皮膚病相關文章

大皰性皮膚病相關問答

A:大皰性皮膚病,臨床上主要是兩種疾病,一種是大皰性類天皰瘡,一種是天皰瘡。上述兩種疾病都是皮膚科的重病,它們的治療需要系統的應用糖皮質激素或者是免疫抑制劑來控制病情,糖皮質激素的選擇的給藥途徑,可以是口服或者是靜點。口服的主要藥物是甲潑尼龍片……
A:大皰性皮膚病,包括的種類有很多,其中包括天皰瘡,或者是皰疹性皮炎等諸多臨床症狀,這種疾病有他們的共同特點,就是在病理上可以看到,在表皮內,表皮上或者表皮下,可以見到清晰的棘皮鬆解症,治療方面建議選擇使用免疫抑制劑同時配合一些激素類的藥物進行……
A:大皰性皮膚病主要指的是一類,全身上下棘皮鬆解以後導致的脫皮性水皰性疾病,對於這種情況,一般來說主要與遺傳因素和免疫力降低紊亂等諸多因素有關,可以抓緊時間選擇到當地的醫院進行激素衝擊療法,並且可以配合一些口服的雷公藤多苷和胸腺肽腸溶片,有必要……
A:(1)兒童型線狀iga大皰性皮膚病,常見於5歲以下兒童,女孩發病率略高於男孩。(2)成人型線狀iga大皰性皮膚病,可發生在青春期後到90歲間的任何時期,最常見於60歲以後發病。……
A:(1)長期免疫力低下者,此類人群不能抵禦病原體入侵,屬於高發人群。(2)長期服用抗生素者,長期服用抗生素藥物是線狀iga大皰性皮膚病的誘因,此類人群發病率較高。……
A:線狀iga大皰性皮膚病目前沒有特異的預防方式,主要是通過提高機體免疫力和避免長期服用藥物的方式避免。……
A:1、體格檢查:醫生通過視診觀察皮損的部位、性狀,觸診皮損有無疼痛、瘙癢,有一定的初步診斷作用。2、組織病理學檢查:組織病理檢查見表皮下水皰,真皮有中性粒細胞和嗜酸性粒細胞浸潤,一般無微膿瘍形成。3、直接免疫熒光檢查:檢查紅斑和外觀正常皮……

大皰性皮膚病相關醫院推薦

桃園市龜山區復興街5號
醫療中心
臺中市西屯區臺灣大道四段1650號
榮民醫院
台南市北區勝利路138號
大學附設醫院
臺北市北投區石牌路二段201號
榮民醫院
臺北市內湖區內湖路二段360號
大學附設醫院
臺北市中正區中山南路7號
大學附設醫院