異位性皮膚炎

異位性皮膚炎症狀、原因、治療與預防保健 · 異位性皮膚炎完整疾病指南 · 異位性皮膚炎專業就醫指南

異位性皮膚炎就診指南

掛號科室:
常見症狀:
皰疹、瘙癢
好發人群:
兒童、青年
是否遺傳:
無傳染性
是否傳染:
有遺傳幾率
發病部位:
皮膚
相關檢查:
血常規、尿常規

異位性皮膚炎圖片

異位性皮炎
異位性皮炎
異位性皮炎的
異位性皮炎的
兒童異位性皮炎
兒童異位性皮炎
頸部異位性皮炎
頸部異位性皮炎
腳異位性皮炎
腳異位性皮炎
腋窩異位性皮炎
腋窩異位性皮炎
腿部異位性皮炎
腿部異位性皮炎
腿部瘙癢的異位性皮炎
腿部瘙癢的異位性皮炎
足部異位性皮炎
足部異位性皮炎
部分結痂異位性皮炎皮膚
部分結痂異位性皮炎皮膚
耳後患異位性皮炎
耳後患異位性皮炎
耳朵異位性皮炎
耳朵異位性皮炎
耳部異位性皮炎
耳部異位性皮炎
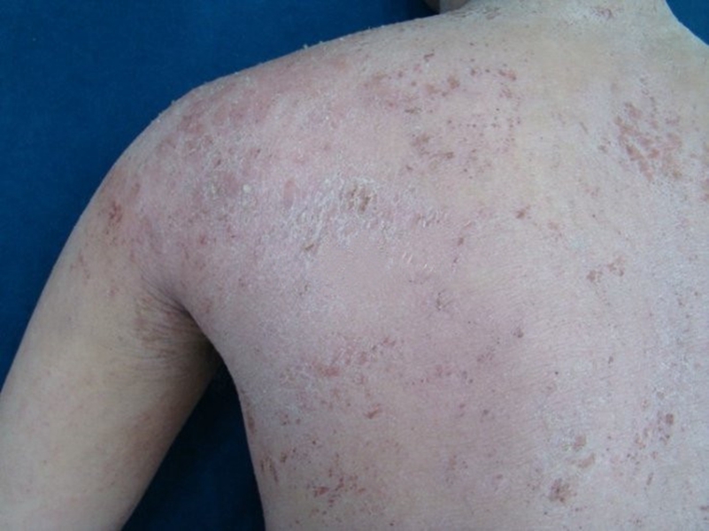
背部異位性皮炎
背部異位性皮炎
背部疙瘩嚴重異位性皮炎
背部疙瘩嚴重異位性皮炎
脖子異位性皮炎正面
脖子異位性皮炎正面
脖頸紅腫嚴重異位性皮炎
脖頸紅腫嚴重異位性皮炎
皮炎測頸多紅斑
皮炎測頸多紅斑
眼部紅疙瘩異位性皮炎
眼部紅疙瘩異位性皮炎
明星臉上患異位性皮炎
明星臉上患異位性皮炎

異位性皮膚炎相關問答

A:如若單純顆粒感,屬於正常情況,僅為皮膚粗糙;如若合併局部潮紅,毛孔粗大等,可能是敏感性肌膚,也稱為皮膚屏障功能受損。建議加強護理,比如使用溫和的精華,加強保溼。但外用效果有限,目前效果最佳的是光子或者精準光治療,對毛孔粗大、粗糙有較好效果。……
A:可能是皮膚自身感覺異常或者外用眼霜、面霜後的刺激性反應。眼周皮膚薄嫩,耐受性較差,配方刺激性較強的面霜可能引起眼周皮膚不良反應,建議外用金黴素眼膏和地奈德軟膏,按照1:1比例混勻,每天2次,一般3天左右能控制;或者用冷毛巾(自來水溫度),每……
A:可能是刀片對皮膚的損傷。1、減少剃鬚次數;2、如果表面有輕微破損,應暫停幾日剃鬚,外用金黴素軟膏或者重組人鹼性生長因子凝膠,幫助表皮恢復。日常剃鬚時,建議使用專業剃鬚泡沫產品,較多的泡沫緩衝有利於減少局部摩擦,避免剃鬚刀對皮膚的損傷,或者使……
A:考慮是靜脈曲張或者膨脹紋,也稱生長紋。如果沿著血管走形,可見毛細血管擴張,凸出表面,類似蜈蚣樣走向,考慮靜脈曲張的可能性大,而且分級屬於2級以上,需要微創手術治療,建議去醫院面診;如若為平行的橫向或豎向走線,不凸出皮面,考慮膨脹紋的可能性大……
A:異位性皮炎學名叫做特應性皮炎,這是遺傳引起的溼疹,其症狀和治療基本和普通溼疹類似,很多人是在嬰兒期或是幼兒期開始發病,嬰兒期發病症狀主要是孩子面部出現紅斑,上面有丘疹,嚴重的話會有液體滲出,會有瘙癢感,孩子會經常抓臉或是總搖頭。還有一部分人……
A:異位性皮炎又稱特應性皮炎、遺傳過敏性皮炎。該病的特徵是患者本人或家族中可見明顯的"特應性"的特點,"特異性"常表現為1.容易患哮喘、過敏性鼻炎等;2.對異體蛋白質過敏;3.血液中特異性IgE水平升高;4.嗜酸性粒粒細胞增多。典型的臨床表現為……
A:特應性皮炎又稱為異位性皮炎,異位性溼疹,遺傳過敏性皮炎等。治療方面分為藥物治療,外用治療和光療。藥物治療分為抗組胺藥物、鈣劑和維生素治療、皮質類固醇激素治療、抗生素治療、環孢菌素、他克莫司、曲尼斯特、胸腺五肽、脫敏療法(如塵蟎浸液)。外用療……
A:考慮長期坐板凳壓迫局部皮膚,導致血液循環差,引起這個部位的皮膚營養供應失調,造成皮膚粗糙,導致色素沉著等引起的,一般是正常的現象。可以通過按摩緩解局部症狀。建議不要長期坐著,要經常起來活動活動,這樣可以促進血液循環,減少症狀的發生。平時要多……

異位性皮膚炎相關醫院推薦

桃園市龜山區復興街5號
醫療中心
臺中市西屯區臺灣大道四段1650號
榮民醫院
台南市北區勝利路138號
大學附設醫院
臺北市北投區石牌路二段201號
榮民醫院
臺北市內湖區內湖路二段360號
大學附設醫院
臺北市中正區中山南路7號
大學附設醫院