扁桃體週膿腫

扁桃體週膿腫症狀、原因、治療與預防保健 · 扁桃體週膿腫完整疾病指南 · 扁桃體週膿腫專業就醫指南

扁桃體週膿腫就診指南

掛號科室:
常見症狀:
吞嚥困難、口涎外溢
好發人群:
青壯年
是否遺傳:
有傳染性
是否傳染:
無遺傳性
發病部位:
咽喉
相關檢查:
血常規、咽試子檢查

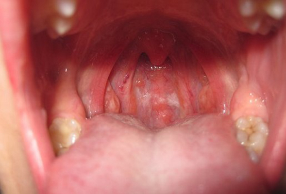
扁桃體週膿腫圖片

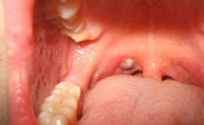
扁桃體結石
扁桃體結石
扁桃體結石
扁桃體結石
扁桃體結石
扁桃體結石
扁桃體結石
扁桃體結石
扁桃體結石
扁桃體結石
扁桃體結石
扁桃體結石
扁桃體結石
扁桃體結石
扁桃體結石
扁桃體結石
扁桃體結石
扁桃體結石
扁桃體結石
扁桃體結石
扁桃體結石
扁桃體結石
扁桃體結石
扁桃體結石
扁桃體結石
扁桃體結石
扁桃體結石
扁桃體結石
扁桃體結石
扁桃體結石
扁桃體結石
扁桃體結石
扁桃體結石
扁桃體結石
扁桃體結石
扁桃體結石
扁桃體結石
扁桃體結石
扁桃體結石
扁桃體結石

扁桃體週膿腫相關問答

A:患者出現扁桃體周圍膿腫,需要進一步做膿腫的穿刺抽膿治療。穿刺抽膿操作前,要使用利多卡因等局麻藥物在穿刺點附近黏膜表面進行局部麻醉,麻藥充分起效後,使用穿刺的粗針頭接注射器,從膿腫的最隆起處刺入,然後抽吸出膿液。要注意穿刺的角度不要太向外側,……
A:扁桃體周圍膿腫也是耳鼻喉科很常見的一個疾病,因為扁桃體感染髮炎形成了周圍膿腫。患者出現咽部異物感、疼痛、口腔有血性分泌物,可以在門診進行切開引流術,切開引流後配合抗生素使用是可以恢復的。這個費用大概需要500塊錢左右,但是要根據當地的消費水……
A:扁桃體周膿腫一旦形成,要膿腫切開引流,加抗炎治療。首先要用注射器穿刺膿腔,抽出膿液,確診膿腫形成。在穿刺點周圍黏膜局麻,用手術刀切開粘膜肌肉,進入膿腔,會有膿液湧出,用大的止血鉗,插入膿腔,擴大膿腔切口,使更多的膿液流出來,同時用注射器,鹽……

扁桃體週膿腫相關醫院推薦

桃園市龜山區復興街5號
醫療中心
臺中市西屯區臺灣大道四段1650號
榮民醫院
台南市北區勝利路138號
大學附設醫院
臺北市北投區石牌路二段201號
榮民醫院
臺北市內湖區內湖路二段360號
大學附設醫院
臺北市中正區中山南路7號
大學附設醫院