台灣醫典百科
首頁
疾病百科
藥品查詢
醫院診所
藥局地圖
名醫推薦
健康專欄
問答
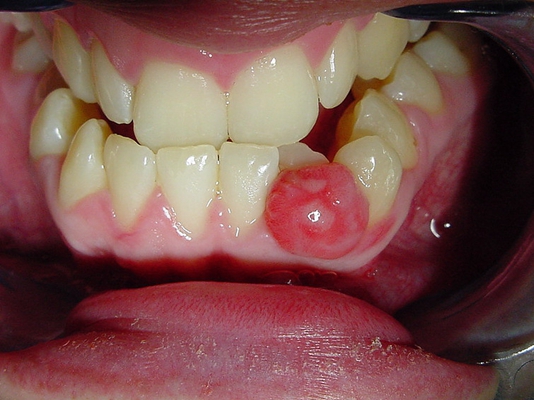
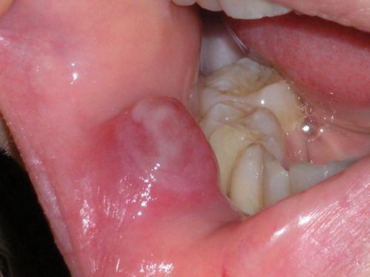
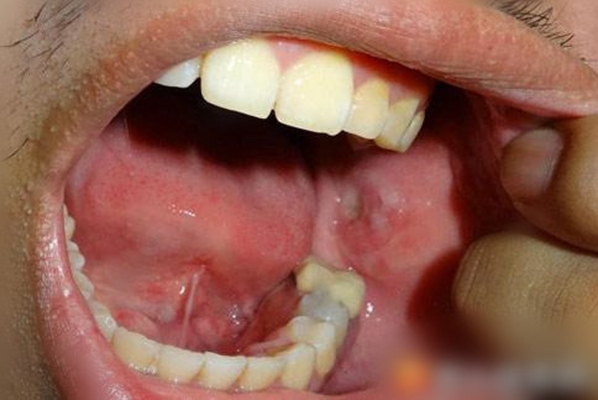
纖維瘤
纖維瘤症狀、原因、治療與預防保健 · 纖維瘤完整疾病指南 · 纖維瘤專業就醫指南
纖維瘤就診指南
掛號科室:
一般外科
常見症狀:
腹部腫塊
好發人群:
創傷、放射環境人羣
是否遺傳:
無傳染性
是否傳染:
無遺傳性
發病部位:
全腹
相關檢查:
病理檢查
纖維瘤圖片
纖維肉瘤 (86)
纖維肉瘤 (87)
纖維肉瘤 (88)
纖維肉瘤 (89)
纖維肉瘤 (9)
纖維肉瘤 (90)
纖維肉瘤 (78)
纖維肉瘤 (79)
纖維肉瘤 (8)
纖維肉瘤 (80)
纖維肉瘤 (81)
纖維肉瘤 (82)
纖維肉瘤 (83)
纖維肉瘤 (84)
纖維肉瘤 (85)
纖維肉瘤 (66)
纖維肉瘤 (67)
纖維肉瘤 (68)
纖維肉瘤 (69)
纖維肉瘤 (7)
纖維瘤相關文章
乳腺纖維瘤做手術疼嗎
2023-12-25