台灣醫典百科
首頁
疾病百科
藥品查詢
醫院診所
藥局地圖
名醫推薦
健康專欄
問答
包皮龜頭炎
包皮龜頭炎症狀、原因、治療與預防保健 · 包皮龜頭炎完整疾病指南 · 包皮龜頭炎專業就醫指南
包皮龜頭炎就診指南
掛號科室:
泌尿科
常見症狀:
水腫、紅斑
好發人群:
男性
是否遺傳:
無傳染性
是否傳染:
無遺傳性
發病部位:
生殖
相關檢查:
血常規
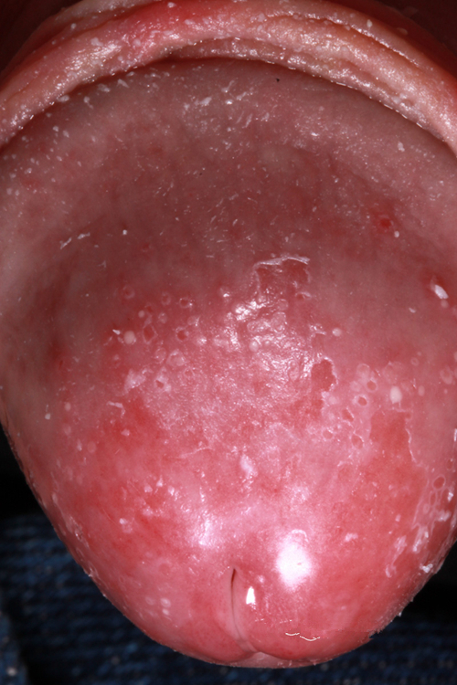
包皮龜頭炎圖片
包皮龜頭炎症狀
包皮龜頭炎卡通
包皮龜頭炎
滴蟲性包皮龜頭炎的症狀症狀
環狀潰爛性包皮龜頭炎的
滴蟲性包皮龜頭炎的症狀
漿細胞性包皮龜頭炎急性淺表性包皮龜頭炎
念珠菌包皮龜頭炎症狀
念珠菌包皮龜頭炎的症狀
念珠菌性包皮龜頭炎
急性淺表性包皮龜頭炎
包皮龜頭炎的
包皮龜頭炎種類
包皮龜頭炎系列
包皮龜頭炎潰瘍面
包皮龜頭炎相關文章