子宮頸炎

子宮頸炎症狀、原因、治療與預防保健 · 子宮頸炎完整疾病指南 · 子宮頸炎專業就醫指南

子宮頸炎就診指南

掛號科室:
常見症狀:
陰道分泌物增多
好發人群:
女性
是否遺傳:
無傳染性
是否傳染:
無遺傳性
發病部位:
生殖
相關檢查:
分泌物塗片

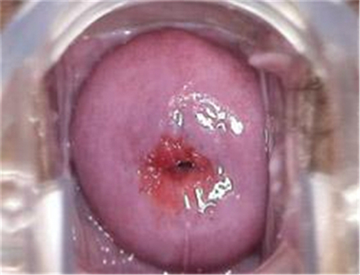
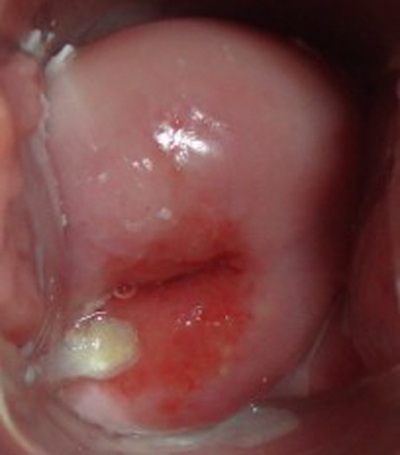
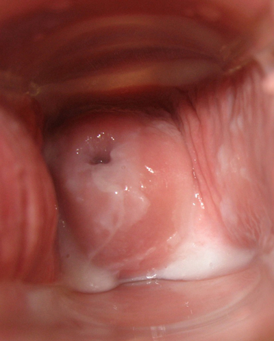
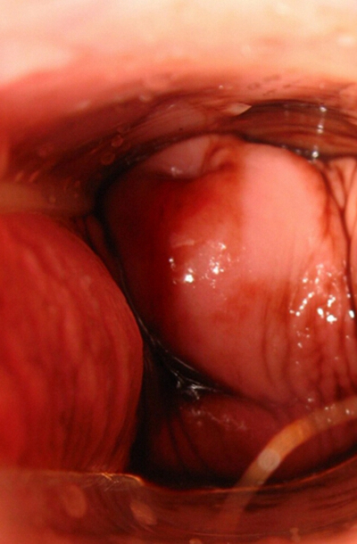
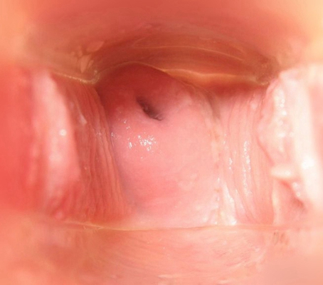
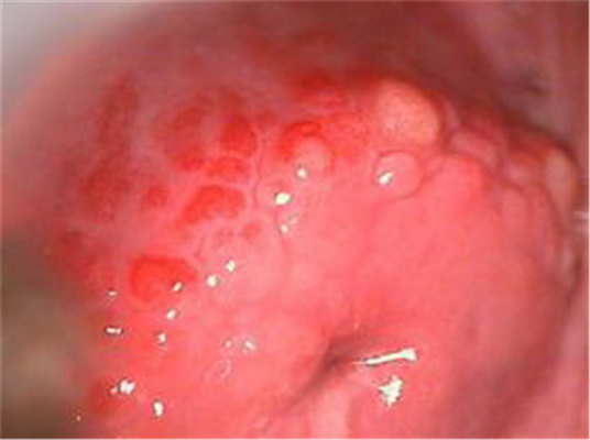
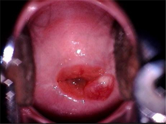
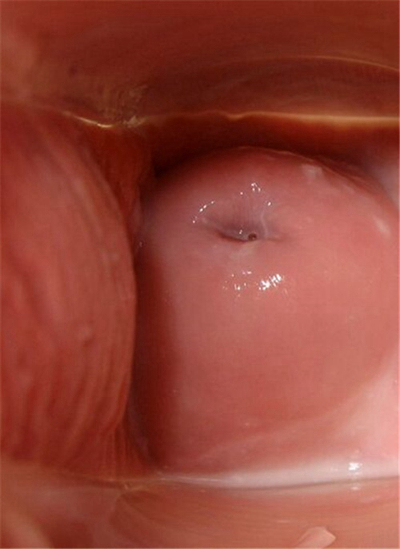
子宮頸炎圖片

宮頸炎
宮頸炎
宮頸炎
宮頸炎
宮頸炎
宮頸炎
宮頸炎
宮頸炎
宮頸炎
宮頸炎
宮頸炎
宮頸炎
宮頸炎
宮頸炎
宮頸炎
宮頸炎
宮頸炎
宮頸炎
宮頸炎
宮頸炎
宮頸炎
宮頸炎
宮頸炎
宮頸炎
宮頸炎
宮頸炎
宮頸炎
宮頸炎
宮頸炎
宮頸炎
宮頸炎
宮頸炎
宮頸炎
宮頸炎
宮頸炎
宮頸炎
宮頸炎
宮頸炎
宮頸炎
宮頸炎

子宮頸炎相關問答

A:宮頸炎的出血多久能夠停止,這要看是什麼類型的宮頸炎。如果是宮頸的糜爛,往往會發生接觸性出血,比如同房以後出血,或者在做完婦科檢查以後出血,這種出血一般2-3天會自動的停止。如果是宮頸息肉引起的出血,這種出血會有間段性少許陰道出血,但是並不……
A:宮頸炎的出血多為鮮紅色,但僅憑出血的顏色是無法鑑別是否是宮頸炎導致的出血,無論是急性宮頸炎還是慢性宮頸炎,都有可能會導致陰道的出血。出血多為鮮紅色,表現為同房後的出血以及月經期的出血,除了出血症狀以外,也可能會有陰道分泌物的異常,比如黏液膿……
A:艾葉主要有清熱涼血、解毒、活血調經、利尿消腫的作用,用艾葉或者艾葉水來燻蒸外陰部治療宮頸炎,效果很低,所以不用艾葉作為治療宮頸炎的主要手段。慢性宮頸炎也是女性常見的炎症性疾病,慢性宮頸炎本身也有許多種,例如說宮頸息肉、宮頸糜爛,宮頸糜爛又分……
A:宮頸炎患者出血的特點主要是同房後出血,同房後出血的特點主要是鮮紅色的血,量不會太多,一般不會多於月經量,持續的時間也不會太長,通常2-3天左右能夠自行的停止。過去所說的宮頸炎主要指的是宮頸糜爛,現在認為宮頸糜爛是宮頸管柱狀上皮的異位,這種宮……
A:慢性宮頸炎的典型表現是小腹和腰骶部的輕微酸脹感、白帶增多,宮頸局部可能會出現肥大增生的表現。建議這部分女性積極到門診通過婦科檢查、白帶常規、宮頸TCT檢查,以及婦科B超來進行綜合的診斷。如果診斷慢性宮頸炎應該積極的治療,治療的方法以局部消炎……
A:宮頸炎的治療要依據宮頸炎的致病因素對因治療,宮頸炎的致病因素包括各種類型的病原體感染,比如比較常見的沙眼衣原體引起的宮頸炎需要用阿奇黴素治療;淋球菌引起的宮頸炎需要用頭孢類抗生素進行治療。陰道內的需氧菌及厭氧菌導致的宮頸炎,比較常見的細菌性……
A:陰道白帶的常規化驗,主要是瞭解陰道的情況,而不是查宮頸炎。陰道的白帶是查陰道內有沒有黴菌的感染,有沒有滴蟲的感染,有沒有細菌性的陰道炎,還有陰道清潔度的情況,所以白帶常規的檢查主要是瞭解陰道的情況。宮頸炎一般是通過醫生在做內診,用肉眼觀察……
A:急性宮頸炎和慢性宮頸炎的病因都是異位同房造成的,也不能說不同房,實際上慢性宮頸炎的患者當然是可以同房的,但是還是建議大家同房的時候儘量用避孕套同房。除了避孕作用之外,還可以防止細菌對宮頸的傷害,減少慢性宮頸炎的繼續進展。慢性宮頸炎,顧名思……

子宮頸炎相關醫院推薦

桃園市龜山區復興街5號
醫療中心
臺中市西屯區臺灣大道四段1650號
榮民醫院
台南市北區勝利路138號
大學附設醫院
臺北市北投區石牌路二段201號
榮民醫院
臺北市內湖區內湖路二段360號
大學附設醫院
臺北市中正區中山南路7號
大學附設醫院