愛滋病

愛滋病症狀、原因、治療與預防保健 · 愛滋病完整疾病指南 · 愛滋病專業就醫指南

愛滋病就診指南

掛號科室:
常見症狀:
發燒、虛弱、盜汗
好發人群:
青壯年
是否遺傳:
有傳染性
是否傳染:
無遺傳性
發病部位:
淋巴系統
相關檢查:
機體免疫功能檢查

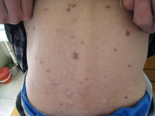
愛滋病圖片

艾滋病紅疹症狀
艾滋病紅疹症狀
艾滋病紅疹症狀
艾滋病紅疹症狀
艾滋病紅疹症狀
艾滋病紅疹症狀
艾滋病紅疹症狀
艾滋病紅疹症狀
艾滋病紅疹症狀
艾滋病紅疹症狀
艾滋病紅疹症狀
艾滋病紅疹症狀
艾滋病紅疹症狀
艾滋病紅疹症狀
艾滋病紅疹症狀
艾滋病紅疹症狀
艾滋病紅疹症狀
艾滋病紅疹症狀
艾滋病紅疹症狀
艾滋病紅疹症狀
艾滋病紅疹症狀
艾滋病紅疹症狀
艾滋病紅疹症狀
艾滋病紅疹症狀
艾滋病紅疹症狀
艾滋病紅疹症狀
艾滋病紅疹症狀
艾滋病紅疹症狀
艾滋病紅疹症狀
艾滋病紅疹症狀
艾滋病紅疹症狀
艾滋病紅疹症狀
艾滋病紅疹症狀
艾滋病紅疹症狀
艾滋病紅疹症狀
艾滋病紅疹症狀
艾滋病紅疹症狀
艾滋病紅疹症狀
艾滋病紅疹症狀
艾滋病紅疹症狀

愛滋病相關問答

A:艾滋病感染者一般在感染以後,平均8-10年開始暴瘦。艾滋病是由艾滋病毒感染引起的一種全身性嚴重性傳播疾病,可以分為急性感染期、無症狀期和艾滋病期三個階段。一般是感染到了艾滋病期,也就是晚期才會出現暴瘦。因為艾滋病毒主要攻擊人體的免疫系統,……
A:艾滋病是由艾滋病病毒感染人體引起的慢性傳染性疾病,所以可選擇到醫院的感染內科掛號就診。艾滋病可通過性接觸進行傳播,也可以到皮膚性病科掛號。不過各地醫院只是進行艾滋病初篩,陰性結果通常會在當天下午或第二天直接發放檢測報告單。如果找到陽性或疑似……
A:如果不小心被打過艾滋病人的針紮了,要立即輕柔,由近心端向遠心端擠壓傷處,儘可能擠出損傷處的血液,再用肥皂液和流動的水沖洗傷口,然後用75%的酒精或0.5%的碘伏對傷口局部進行消毒、包紮處理。處理完畢後儘可能在兩小時內進行預防性用藥,如果不能……
A:低燒能否查出艾滋病需要具體情況具體分析,查艾滋病是需要做艾滋病的檢測,到醫院裡抽個血就可以明確診斷。艾滋病有可能在剛開始的時候有發熱或者感染了以後有發熱,因為隨艾滋病病情的進展免疫力會逐漸下降,可能會出現低熱的情況或者繼發感染,也會出現發熱……
A:艾滋病並不一定會全天的低燒,艾滋病是由艾滋病毒感染所引起,以系統性的免疫功能缺陷為特徵的性傳播疾病。艾滋病毒感染者在感染的早期階段,比如感染之後2-4周,有可能會出現急性期的症狀,可能會出現低燒,一般是38℃以下。還可能伴有其它的症狀,比如……
A:艾滋病肯定不會只有一個症狀,艾滋病是由艾滋病毒感染所引起的以嚴重免疫缺陷為特徵的全身性慢性性傳播疾病。艾滋病毒主要是攻擊人體的CD4T淋巴細胞,導致機體免疫系統嚴重受損,最終會引起各種各樣的機會感染和惡性腫瘤,不治療最終會導致死亡。艾滋病……
A:溼疹和艾滋病是兩種病因和表現都是完全不相同的疾病,所以是很容易區分的。溼疹屬於一種內外多種過敏因素所誘發的變態反應性的皮膚炎症,主要的表現是皮膚上出現丘疹、水皰、脫屑、苔蘚樣變,伴有明顯的瘙癢等,沒有傳染性。而艾滋病是由艾滋病毒感染所引起的……
A:艾滋病主要侵犯人體的免疫系統,最終導致人體細胞免疫功能缺陷,最後死於各種機會性感染和腫瘤,艾滋病還可併發各種腫瘤,與艾滋病相關的腫瘤主要有淋巴瘤、卡波西肉瘤,還可以有肺癌、肝癌、肛周腫瘤等,機會性感染主要包括以下幾個方面:1、卡氏肺囊蟲病……

愛滋病相關醫院推薦

桃園市龜山區復興街5號
醫療中心
臺中市西屯區臺灣大道四段1650號
榮民醫院
台南市北區勝利路138號
大學附設醫院
臺北市北投區石牌路二段201號
榮民醫院
臺北市內湖區內湖路二段360號
大學附設醫院
臺北市中正區中山南路7號
大學附設醫院