台灣醫典百科
首頁
疾病百科
藥品查詢
醫院診所
藥局地圖
名醫推薦
健康專欄
問答
體癬
體癬症狀、原因、治療與預防保健 · 體癬完整疾病指南 · 體癬專業就醫指南
體癬就診指南
掛號科室:
皮膚科
常見症狀:
紅斑、丘疹、水皰
好發人群:
所有人羣
是否遺傳:
無傳染性
是否傳染:
無遺傳性
發病部位:
手/足
相關檢查:
直接鏡檢、組織病理
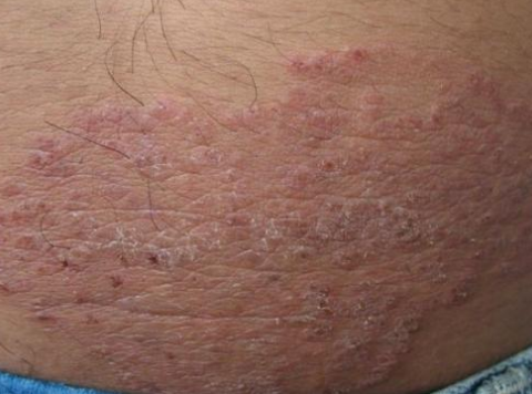
體癬圖片
體股癬初期現象
體股癬初期現象
體股癬初期現象
體股癬初期現象
體股癬初期現象
體股癬初期現象
體股癬初期現象
體股癬初期現象
體股癬初期現象
體股癬初期現象
體股癬初期現象
體股癬初期現象
體股癬初期現象
體股癬初期現象
體股癬初期現象
體股癬初期現象
體股癬初期現象
體股癬初期現象
體股癬初期現象
體股癬初期現象
體癬相關文章
20歲小夥背部長紅斑原來是體癬,這種藥膏可治癒
2023-07-09
人得貓癬怎麼治療
2023-10-28
體癬的症狀表現
2023-11-12
體癬怎麼治
2023-12-26
什麼是體癬
2023-03-30
體癬的症狀和治療方法
2023-09-20
溼疹和體癬的區別
2023-03-11
臉癬還癢怎麼辦
2023-10-01
查看更多文章
體癬相關問答
Q:體癬會自愈嗎
A:體癬能自愈嗎?通常體癬難以自愈,體癬是一種皮膚真菌感染,體癬的致病真菌一般是親動物性的真菌,這種真菌往往來源於動物,通過密切接觸感染動物而感染的體癬,這些動物包括貓、狗這些比較常見的寵物。感染體癬以後如果不治療,不但不會自愈,可能還會播散,……
Q:體癬用什麼藥膏好得快
A:體癬就是皮膚癬菌感染身體平滑部位的皮膚,比如前胸、後背、上肢、下肢的皮膚所引起的很常見的一種真菌性皮膚病。一般使用抗真菌的藥物內服和外用就可以迅速的好轉,常用的外用抗真菌藥物包括克黴唑軟膏、硝酸咪康唑軟膏、硝酸益康唑軟膏、酮康唑乳膏、聯苯苄……
Q:體癬用什麼藥膏效果好
A:提前本身屬於真菌感染之後導致的侷限部位,凸起性還行擴大的一些增生性皮膚病,這種情況,如果單純想選擇藥膏進行治療的話,建議選擇使用普通的抗真菌類藥膏和激素的藥膏混合複方製劑,建議選擇使用咪康唑氯倍他索乳膏,或者是益康倍松乳膏。這種情況綜合治療……
Q:百蘚夏塔熱片拉肚子怎麼辦
A:百癬夏塔熱片是中藥製劑,主要用於手癬、體癬等病症。其主要功能是清除異常粘液質、膽液質,消腫止癢。適用於手癬、體癬、足癬、花斑癬、過敏性皮炎、痤瘡等變態反應性疾病。因其成分含有涼性的中藥,所以服用期間忌菸、酒及辛辣、油膩食物。患有慢性腹瀉、痢……
Q:體癬好治嗎
A:體癬是指發生於人體除手、足、甲板、腹股溝及會陰以外光滑皮膚上的一種淺表性皮膚真菌感染。可以通過直接接觸患病的人或者貓狗等小動物而傳染,也可以通過接觸被汙染的物品而間接傳染。體癬容易復發,比較難治療。平時日常生活中注意衛生習慣,儘量避免接觸患……
Q:女性體癬初期表現
A:體癬不管是男性和女性,它的臨床表現都是比較類似的,主要表現為皮膚出現一塊小丘疹性搔癢樣改變。用手搔抓刺激以後,可能會出現環形擴大,形成周圍突出,中間凹陷的皮損形態,對於這種情況,做真菌檢測,可以明顯看到真菌陽性,該種疾病的治療,一般建議可以……
Q:體癬傳染嗎
A:體癬這種疾病本身是因為真菌感染導致真菌,這種疾病他是有一定的傳染性的,通過皮膚的直接接觸,或者是一些物品的間接接觸可以導致真菌傳染給下一個人,從而出現擴散的現象。出現這種情況,建議最好抓緊時間選擇使用抗真菌類的藥物來進行治療,可以選擇使用口……
Q:頭上牛皮癬怎麼治
A:頭皮部位牛皮癬的話,他只不過是一些侷限性的斑塊型銀屑病,那麼對於這種情況,我們一般建議最好可以選擇嘗試使用一些口服的銀屑靈顆粒,或者是得配合一些外用的複方丙酸氯倍他索乳膏,然後當症狀控制以後,把外用的複方丙酸氯倍他索乳膏更換為卡泊三醇乳膏結……
查看更多問答
體癬相關醫院推薦
長庚醫療財團法人林口長庚紀念醫院
桃園市龜山區復興街5號
醫療中心
臺中榮民總醫院
臺中市西屯區臺灣大道四段1650號
榮民醫院
國立成功大學醫學院附設醫院
台南市北區勝利路138號
大學附設醫院
臺北榮民總醫院
臺北市北投區石牌路二段201號
榮民醫院
中國醫藥大學附設醫院臺北分院
臺北市內湖區內湖路二段360號
大學附設醫院
國立臺灣大學醫學院附設醫院
臺北市中正區中山南路7號
大學附設醫院
查看更多醫院
體癬相關醫師推薦
查看更多醫師
相關藥品
特飛立 注射劑 10毫克毫升
適用於治療先前曾接受至少四線療法(包括一種蛋白酶體抑制劑、一種免疫調節劑和一種抗CD38單株抗體)的復發性或難治性多發性骨髓瘤成人病人。
“光南”抗敏寧錠(延胡索酸可利汀)
緩解過敏性鼻炎、枯草熱所引起之相關症狀(流鼻水、打噴嚏、眼睛及喉部搔癢)及過敏所引起之搔癢、皮膚癢疹。
度他雄胺
良性攝護腺增生之治療;雄性素致效劑。
邁舒丁眼藥水
急性、亞急性結膜炎、流行性結膜炎、角膜結合膜炎、毛囊結膜炎、緣角膜炎、再發性瞼腺炎、角膜受傷後之處理、砂眼、泡疹狀角膜炎
鐵士得朗針
男性荷爾蒙缺乏症、前立腺肥大、更年期障礙
×