台灣醫典百科
首頁
疾病百科
藥品查詢
醫院診所
藥局地圖
名醫推薦
健康專欄
問答
腸腫瘤
腸腫瘤症狀、原因、治療與預防保健 · 腸腫瘤完整疾病指南 · 腸腫瘤專業就醫指南
腸腫瘤就診指南
掛號科室:
腫瘤外科
常見症狀:
貧血、消瘦、大便次數增多
好發人群:
中老年
是否遺傳:
無傳染性
是否傳染:
無遺傳性
發病部位:
下腹
相關檢查:
結腸鏡檢查
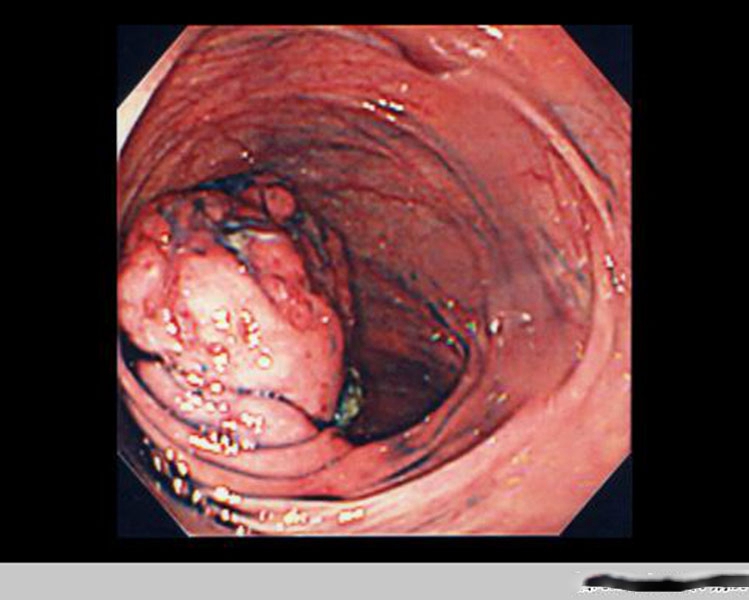
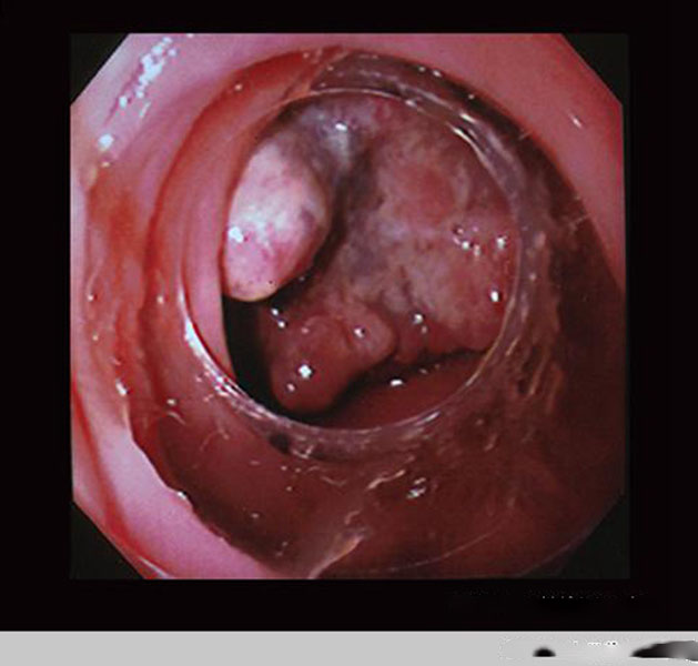
腸腫瘤圖片
腫瘤腸腫瘤細胞圖
腫瘤腸腫瘤真實
腫瘤腸腫瘤病變真
腫瘤腸腫瘤切除術
直腸腫瘤的報告單
直腸腫瘤惡性腸鏡
直腸腫瘤
直腸腫瘤早期
直腸腫瘤診斷證明
治療腸腫瘤觀察
腫瘤病變腸腫瘤
直腸腸腫瘤手術術後
直腸腸腫瘤手術
直腸腸腫瘤術後
直腸腸腫瘤真實
直腸腫瘤 良性
直腸腫瘤報告單
直腸腸腫瘤過程
直腸腸腫瘤後期
直腸腸腫瘤切除術後
腸腫瘤相關文章
結腸腫瘤的症狀
2023-06-11
十二指腸腫瘤的切除方法
2023-12-15