台灣醫典百科
首頁
疾病百科
藥品查詢
醫院診所
藥局地圖
名醫推薦
健康專欄
問答
鼻息肉
鼻息肉症狀、原因、治療與預防保健 · 鼻息肉完整疾病指南 · 鼻息肉專業就醫指南
鼻息肉就診指南
掛號科室:
耳鼻喉科
常見症狀:
鼻塞、流涕
好發人群:
所有人羣
是否遺傳:
無傳染性
是否傳染:
無遺傳性
發病部位:
鼻
相關檢查:
鼻鏡檢查
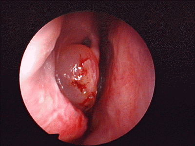
鼻息肉圖片
鼻息肉
鼻息肉
鼻息肉
鼻息肉
鼻息肉
鼻息肉
鼻息肉
鼻息肉
鼻息肉
鼻息肉
鼻息肉
鼻息肉
鼻息肉
鼻息肉
鼻息肉
鼻息肉
鼻息肉
鼻息肉
鼻息肉
鼻息肉
鼻息肉相關文章
鼻子里長了個黃豆大小的東西
2023-02-09