牙周炎

牙周炎症狀、原因、治療與預防保健 · 牙周炎完整疾病指南 · 牙周炎專業就醫指南

牙周炎就診指南

掛號科室:
常見症狀:
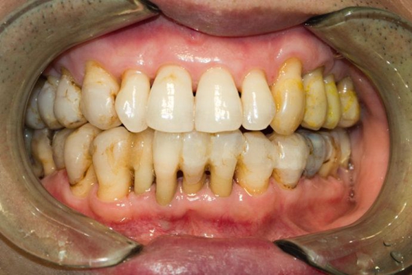
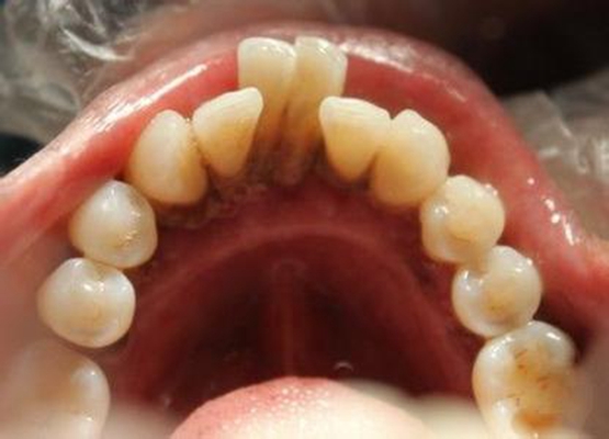
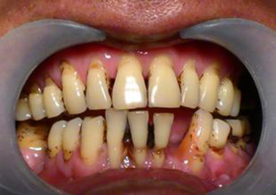
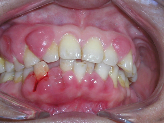
牙周袋形成、溢膿
好發人群:
35歲以後
是否遺傳:
無傳染性
是否傳染:
無遺傳性
發病部位:
口腔
相關檢查:
X線檢查

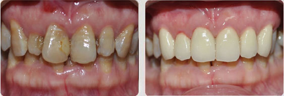
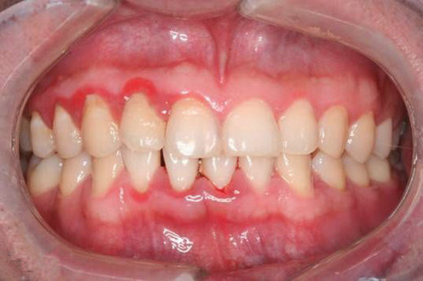
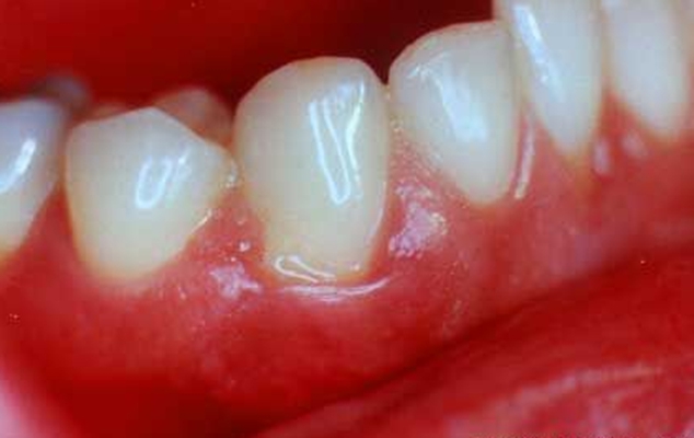
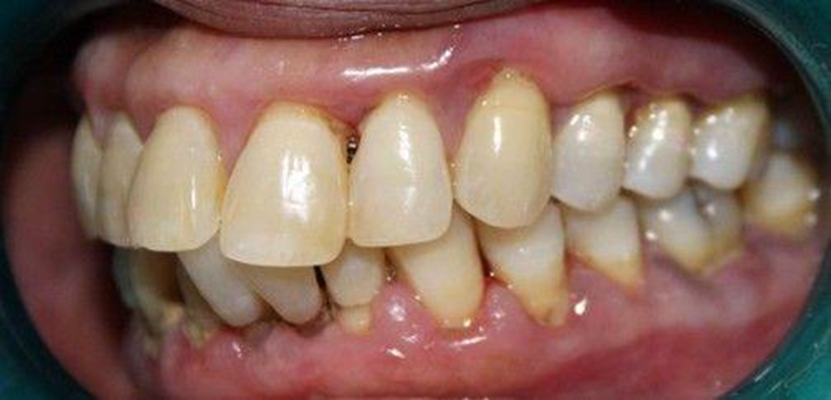
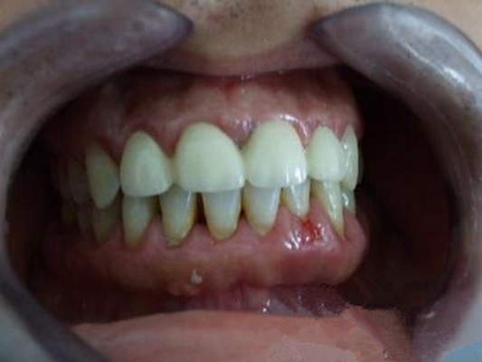
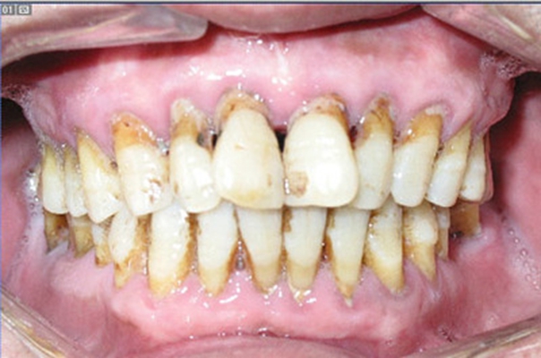
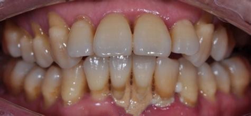
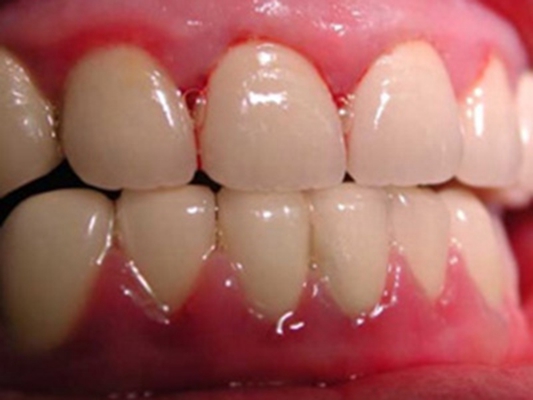
牙周炎圖片

牙周袋 (7)
牙周袋 (7)
牙周袋 (8)
牙周袋 (8)
牙周袋 (9)
牙周袋 (9)
牙周袋 (47)
牙周袋 (47)
牙周袋 (48)
牙周袋 (48)
牙周袋 (49)
牙周袋 (49)
牙周袋 (5)
牙周袋 (5)
牙周袋 (50)
牙周袋 (50)
牙周袋 (51)
牙周袋 (51)
牙周袋 (52)
牙周袋 (52)
牙周袋 (6)
牙周袋 (6)
牙周袋 (35)
牙周袋 (35)
牙周袋 (36)
牙周袋 (36)
牙周袋 (37)
牙周袋 (37)
牙周袋 (38)
牙周袋 (38)
牙周袋 (39)
牙周袋 (39)
牙周袋 (4)
牙周袋 (4)
牙周袋 (40)
牙周袋 (40)
牙周袋 (41)
牙周袋 (41)
牙周袋 (42)
牙周袋 (42)

牙周炎相關問答

A:如果得了牙周炎需要進行牙周治療,一般包括進行潔治、刮治、根面平整和口腔宣教。潔治每牙10-20元,刮治每牙20元,根面平整每牙10元。所以如果進行潔治、刮治、根面平整,每個牙需要50-60元。進行牙周宣教,也就是口腔衛生宣教,每次10元。如……
A:牙齦出血的原因,主要有以下幾種:1、牙齦炎:病人常見的主訴就是接觸或者是刺激後引起出血,病人主訴會有刷牙或者是咬硬物時出血,檢查時口腔內會有大量的菌斑和牙石,去除菌斑和牙石後,局部牙齦的腫脹現象消失,出血就可以緩解。2、全身系統性疾病:……
A:發生牙周炎,產生口臭比較嚴重的情況,緩解方法包括保持口腔衛生和積極治療牙周病等方法。具體如下:1、保持口腔衛生:要注意學會正確的刷牙方法,保持口腔衛生,應做到早晚刷牙、飯後漱口,刷牙時可以使用牙線和間隙刷來清除牙周炎病人牙縫內的食物殘渣,……
A:牙周炎是指發生在牙齒支持組織,即牙齒周圍的牙齦、牙周膜、牙槽骨和牙骨質所發生的炎症性疾病。牙周炎最常見的病因是局部牙石和菌斑的刺激,發生牙周炎以後,臨床表現為口腔異味、刷牙出血、牙齒逐漸鬆動、咀嚼無力,嚴重時鬆動的牙齒會自行脫落。發生牙周炎……
A:在治療牙周炎的過程當中,如果進行潔治,一般收費每牙20元一顆。如果進行刮治,每顆牙10-20元。如果進行根面平整,每顆牙10元左右,如果進行牙周夾板的固定來治療牙齒的鬆動,每顆牙13元左右。如果需要進一步的進行牙周手術,可能需要300-50……
A:基於目前口腔醫學的現狀,牙周炎不能自愈,即使是輕度的牙周炎也不能自愈。因為如果稱為是牙周炎,就會有牙槽骨高度的降低,在垂直方向的骨缺損,目前還沒有好的辦法使其能夠恢復。對於牙周炎的治療,目前主要是採取各種各樣的措施控制炎症,防止牙周炎進一步……
A:牙齦發炎是口腔科常見的疾病,牙齦發炎有以下幾種原因可以引起,首先牙齦炎可以導致牙齦的腫脹、發炎,牙周病也可以引起冠周炎、慢性根尖周炎引起牙齦的發炎,所以應根據不同的情況進行不同的對症處理。首先牙齦炎導致的牙齦發炎應進行潔治也就是洗牙,洗牙以……
A:市面上有很多種牙膏各式各樣,而對於牙周炎多可以考慮有抗菌功能的牙膏,特別是對抗厭氧菌成分就更為好。但也不能長期使用,否則有可能會引起口腔的菌群的失調,而導致更為嚴重的口腔問題。牙周炎是口腔科非常常見的一種疾病,它是目前比較難以根治的疾病,因……

牙周炎相關醫院推薦

桃園市龜山區復興街5號
醫療中心
臺中市西屯區臺灣大道四段1650號
榮民醫院
台南市北區勝利路138號
大學附設醫院
臺北市北投區石牌路二段201號
榮民醫院
臺北市內湖區內湖路二段360號
大學附設醫院
臺北市中正區中山南路7號
大學附設醫院