阻生齒

阻生齒症狀、原因、治療與預防保健 · 阻生齒完整疾病指南 · 阻生齒專業就醫指南

阻生齒就診指南

掛號科室:
常見症狀:
疼痛、臉頰腫脹
好發人群:
所有人羣
是否遺傳:
無傳染性
是否傳染:
無遺傳性
發病部位:
口腔
相關檢查:
口腔科檢查、X線

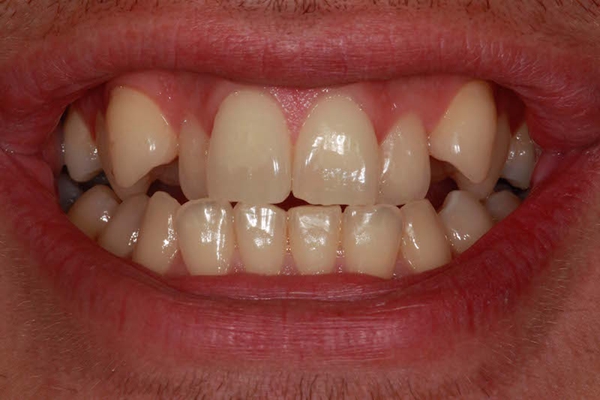
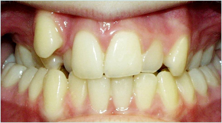
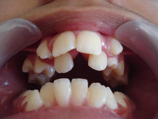
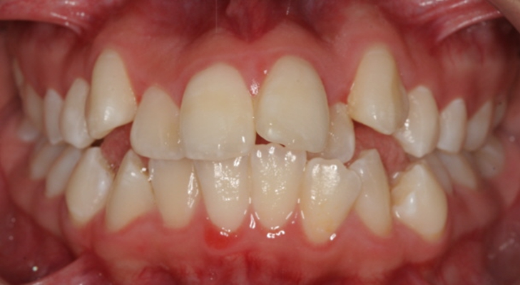
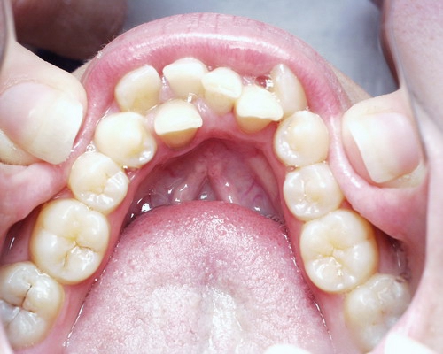
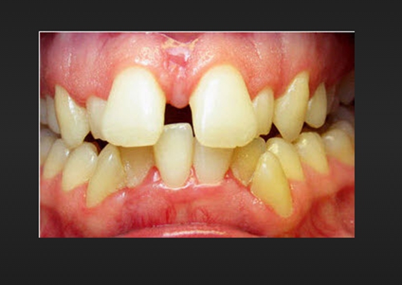
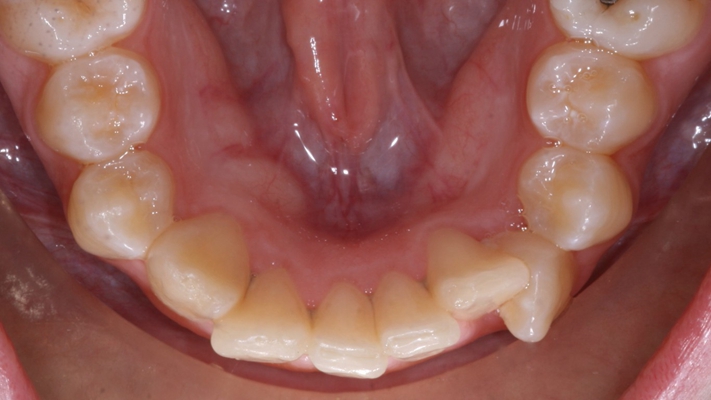
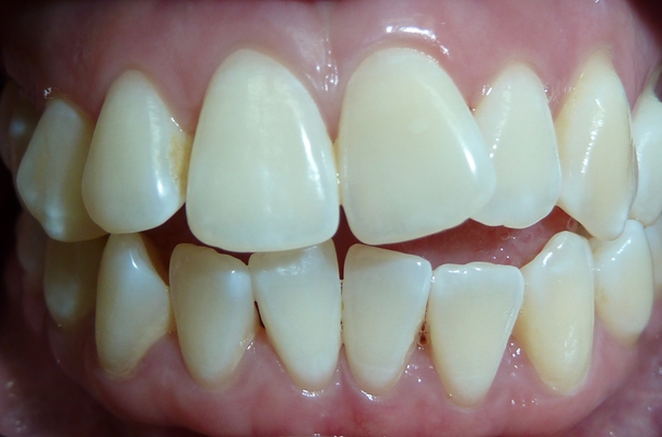
阻生齒圖片

阻生牙 (9)
阻生牙 (9)
阻生牙 (41)
阻生牙 (41)
阻生牙 (42)
阻生牙 (42)
阻生牙 (43)
阻生牙 (43)
阻生牙 (44)
阻生牙 (44)
阻生牙 (45)
阻生牙 (45)
阻生牙 (46)
阻生牙 (46)
阻生牙 (47)
阻生牙 (47)
阻生牙 (48)
阻生牙 (48)
阻生牙 (49)
阻生牙 (49)
阻生牙 (5)
阻生牙 (5)
阻生牙 (50)
阻生牙 (50)
阻生牙 (6)
阻生牙 (6)
阻生牙 (7)
阻生牙 (7)
阻生牙 (8)
阻生牙 (8)
阻生牙 (33)
阻生牙 (33)
阻生牙 (34)
阻生牙 (34)
阻生牙 (35)
阻生牙 (35)
阻生牙 (36)
阻生牙 (36)
阻生牙 (37)
阻生牙 (37)

阻生齒相關問答

A:阻生牙是指牙齒在萌出過程中,由於解剖部位不正確或者口腔的頜骨位置小,而牙齒又多且較大,牙齒萌出非常困難,無法萌出,這些類牙齒就是阻生牙。臨床上最常見的阻生牙就是智齒,一般在16-18歲以後才逐漸萌出。此時所有的恆牙已經基本萌出,剩下的位置不……
A:智齒又叫第三磨牙,是口腔內最後萌出的牙齒,智齒在17-18歲時才開始萌出,人的智齒的數目是0-4顆不等。上頜智齒能正位萌出,下頜智齒會出現各種阻生,導致萌出不全。平時所說的阻生齒就是指未能完全萌出的智齒。智齒如果在上下頜都正位萌出,並且沒有……
A:阻生智齒有時壓迫第二磨牙會導致第二磨牙遠中面的牙根吸收,對於其他的牙齒產生不利的影響。如果阻生齒位置不好建議拔除,如果是正位萌出的智齒,咬合關係良好,並且與鄰牙之間沒有食物嵌塞,這樣的智齒一般也可以保留。阻生齒是未完全萌出的第三磨牙,又叫智……
A:可根據阻生齒自身的情況而定,如果阻生齒阻生程度不嚴重的話,通過切齦可使阻生齒順利萌出,並且對合有智齒咬合的話,阻生齒可以考慮保留。如果阻生齒阻生程度很嚴重,並且對前面的牙有嚴重的影響,而且引起冠周炎反覆發作,這種情況一定要拔除的,如果不拔除……
A:如果水平阻生齒,完全埋伏在牙槽骨內,與鄰牙沒有任何影響,這種智齒是可以選擇不拔除的。如果水平阻生齒,部分萌出且與對頜牙無咬合關係,或者是與鄰牙鄰接關係不好,兩牙治療容易造成食物嵌塞,這種情況下,水平智齒是需要拔除的。還有智齒周圍的牙齦反覆發……
A:阻生齒就是被阻生的牙齒,由於各種原因只能部分萌出或完全不能萌出,並且以後也不可能萌出的牙齒,稱為阻生齒,最常見的阻生齒是下頜第三磨牙,上頜第三磨牙,和上頜尖牙,形成阻生齒的原因有很多種,主要是骨量和牙量不協調,頜骨發育不足,缺乏足夠的間隙,……
A:阻生齒和智齒是不一樣的,阻生齒包括是指沒有辦法正常萌出的牙齒,有前牙,有後牙,有多生牙,也有智齒,可能有骨頭的阻生,有可能是有牙齦的阻生。但是智齒是在成年以後萌出的一顆牙齒,位於牙列的最後面,是從門牙開始數的第八顆牙齒,它可以正常萌出,也可……
A:垂直智齒阻生是否有必要拔出,需要根據情況判斷,具體如下:1、不需要拔出:垂直阻生的智齒如果完全埋伏於頜骨內沒有症狀,口腔內也沒有露出的牙尖,則可以不進行拔除。2、需要拔出:如果智齒經常發炎,局部牙齦腫脹,甚至伴有半側面部腫脹,則應該在消……

阻生齒相關醫院推薦

桃園市龜山區復興街5號
醫療中心
臺中市西屯區臺灣大道四段1650號
榮民醫院
台南市北區勝利路138號
大學附設醫院
臺北市北投區石牌路二段201號
榮民醫院
臺北市內湖區內湖路二段360號
大學附設醫院
臺北市中正區中山南路7號
大學附設醫院