口腔癌

口腔癌症狀、原因、治療與預防保健 · 口腔癌完整疾病指南 · 口腔癌專業就醫指南

口腔癌就診指南

掛號科室:
常見症狀:
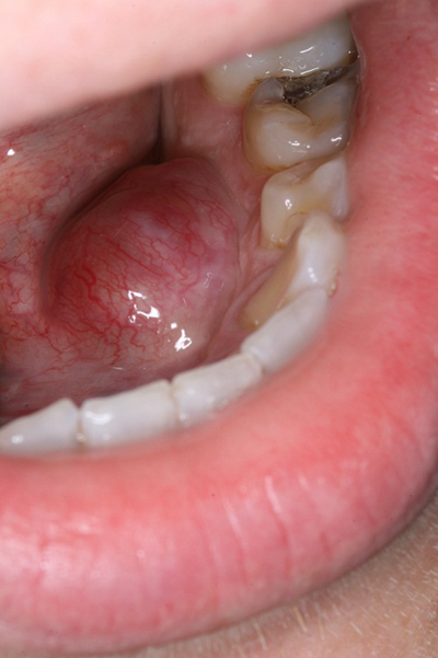
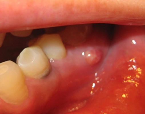
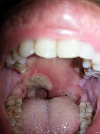
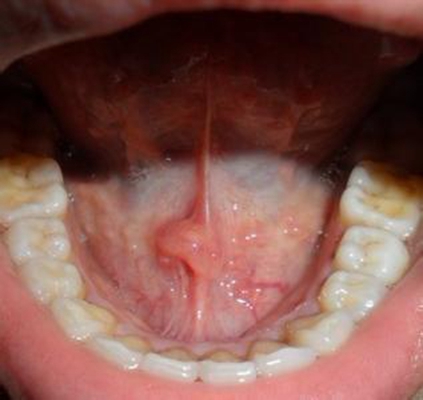
有腫塊、結節出現
好發人群:
所有人羣
是否遺傳:
無傳染性
是否傳染:
無遺傳性
發病部位:
口腔
相關檢查:
放射性核素檢查

口腔癌圖片

口腔癌的前兆 (6)
口腔癌的前兆 (6)
口腔癌的前兆 (7)
口腔癌的前兆 (7)
口腔癌的前兆 (8)
口腔癌的前兆 (8)
口腔癌的前兆 (9)
口腔癌的前兆 (9)
口腔癌的前兆 (46)
口腔癌的前兆 (46)
口腔癌的前兆 (47)
口腔癌的前兆 (47)
口腔癌的前兆 (48)
口腔癌的前兆 (48)
口腔癌的前兆 (49)
口腔癌的前兆 (49)
口腔癌的前兆 (51)
口腔癌的前兆 (51)
口腔癌的前兆 (53)
口腔癌的前兆 (53)
口腔癌的前兆 (54)
口腔癌的前兆 (54)
口腔癌的前兆 (37)
口腔癌的前兆 (37)
口腔癌的前兆 (38)
口腔癌的前兆 (38)
口腔癌的前兆 (39)
口腔癌的前兆 (39)
口腔癌的前兆 (4)
口腔癌的前兆 (4)
口腔癌的前兆 (40)
口腔癌的前兆 (40)

口腔癌相關問答

A:口腔癌是很嚴重的惡性腫瘤,口腔癌的病人如果能夠早發現、早診斷、早治療,大部分早期的口腔癌病人通過根治性手術切除,可以徹底治癒。口腔白斑一般稱之為癌前病變,對於出現口腔白斑的病人,需要儘早的進行手術切除和激光治療,將口腔白斑徹底切除乾淨是防止……
A:口腔癌是一種很嚴重的惡性腫瘤,如何判斷口腔癌,首先從口腔癌的形狀和病史上進行初步的診斷,最後是需要病理診斷來確診。一般情況下,口腔的腫瘤出現了潰爛、久治不愈的潰瘍等等,這些都是口腔癌的表現。早發現、早診斷、早治療,是治癒口腔癌和延長壽命的關……
A:口腔癌是很嚴重的惡性腫瘤,口腔癌病人比較常見的早期徵兆是口腔白斑,口腔黏膜白斑屬於癌前病變。如果發現有口腔白斑,一定要儘早進行手術切除,防止口腔白斑發展成口腔癌。早發現、早診斷、早治療是治癒口腔癌和延長壽命的關鍵,早期口腔癌病人通過根治性……
A:口腔癌是很嚴重的惡性腫瘤,口腔癌的病人能夠活多長時間,第一個取決於病人的癌症屬於早期、中期還是晚期,第二個取決於腫瘤治療的及時程度和治療的力度,第三個取決於口腔癌惡性程度的高低。高分化癌、中分化癌、低分化癌、未分化癌是癌症惡性程度高低的分……
A:如果種植牙後得了口腔癌,應該按照惡性腫瘤的治療原則進行治療,可以到正規醫院的口腔科或者大型醫院的口腔頜面外科經檢查,拍攝全口曲面斷層片並進行臨床檢查,看看口腔癌發生在什麼部位,有多大,基底是否比較硬,是否有活動度,是否侵犯牙槽突引起牙齒鬆動……
A:口腔癌是常見的一類惡性腫瘤,口腔癌最明顯的症狀就是口腔裡的腫瘤,腫瘤的生長特點是速度比較快,經常出現腫瘤的潰爛,形成潰瘍,而且久治不愈。這樣的情況可能是口腔癌,需要儘快進行切除活檢做病理診斷,只有通過病理診斷才能夠確診。病理診斷是確診口腔……
A:大多數口腔癌的治療,需要進行有計劃的多學科綜合治療的模式,在這些綜合治療模式當中,手術治療是重要的治療手段。口腔癌的手術治療,除了要徹底清除原發病灶之外,還需要清除必要的頸部淋巴結,儘可能的將手術剔除的組織進行完整的切除,達到根治性手術治療……
A:口腔癌是一種惡性腫瘤疾病,可致患者死亡,患者的存活率主要受病情嚴重程度以及治療等因素影響。如果口腔癌患者在病情早期就能夠及時發現,並且做好手術治療措施,那治癒口腔癌疾病的可能性較高,病情治癒後不再影響患者生命健康;但是如果患者的口腔癌病情處……

口腔癌相關醫院推薦

桃園市龜山區復興街5號
醫療中心
臺中市西屯區臺灣大道四段1650號
榮民醫院
台南市北區勝利路138號
大學附設醫院
臺北市北投區石牌路二段201號
榮民醫院
臺北市內湖區內湖路二段360號
大學附設醫院
臺北市中正區中山南路7號
大學附設醫院