台灣醫典百科
首頁
疾病百科
藥品查詢
醫院診所
藥局地圖
名醫推薦
健康專欄
問答
潰瘍性結腸炎
潰瘍性結腸炎症狀、原因、治療與預防保健 · 潰瘍性結腸炎完整疾病指南 · 潰瘍性結腸炎專業就醫指南
潰瘍性結腸炎就診指南
掛號科室:
消化內科
常見症狀:
血性腹瀉、腹痛、便血
好發人群:
20~30歲
是否遺傳:
無傳染性
是否傳染:
有遺傳幾率
發病部位:
下腹
相關檢查:
血常規檢查、結腸鏡
潰瘍性結腸炎圖片
潰瘍性結腸炎的病理
潰瘍性結腸炎的症狀漫畫
潰瘍性結腸炎的治療
嚴重潰瘍性結腸炎四周
潰瘍性結腸炎症狀
潰瘍性結腸炎治療前後對比
潰瘍性結腸炎重度糜爛
輕微潰瘍性結腸炎表皮異物
輕微潰瘍性結腸炎前後對比
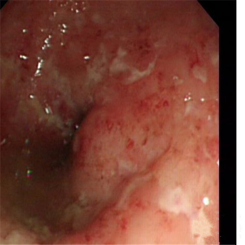
輕微潰瘍性結腸炎
潰瘍性結腸炎微創手術
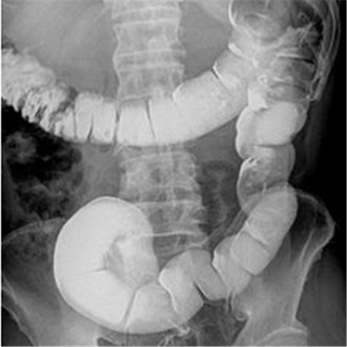
潰瘍性結腸炎影像檢查
潰瘍性結腸炎誘發寄生蟲
潰瘍性結腸炎乳頭狀
潰瘍性結腸炎示例
潰瘍性結腸炎手術前後複查
潰瘍性結腸炎手術切除物
潰瘍性結腸炎手術中
潰瘍性結腸炎術後傷口
潰瘍性結腸炎水腫
潰瘍性結腸炎相關文章
打嗝有股酒味還拉肚子
2023-07-03
55歲婦女患潰瘍性結腸炎,腹痛、血便是信號!
2023-12-10
60歲大媽患潰瘍性結腸炎,用藥、飲食要跟上
2023-11-21
52歲女性因潰瘍性結腸炎就診,訴腹瀉、膿血便持續18年
2023-11-01
鏡檢紅細胞0-1是什麼意思
2023-06-08
潰瘍性結腸炎的飲食
2023-08-13