慢性胃炎

慢性胃炎症狀、原因、治療與預防保健 · 慢性胃炎完整疾病指南 · 慢性胃炎專業就醫指南

慢性胃炎就診指南

掛號科室:
常見症狀:
腹隱痛、飽脹、反酸
好發人群:
所有人羣
是否遺傳:
無傳染性
是否傳染:
無遺傳性
發病部位:
上腹
相關檢查:
胃腸X線鋇餐檢查

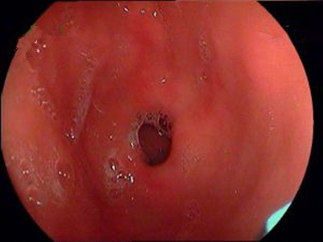
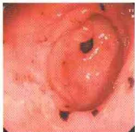
慢性胃炎圖片

慢性胃炎
慢性胃炎
慢性胃炎的
慢性胃炎的
成人慢性胃炎
成人慢性胃炎
中型淺表萎縮慢性胃炎
中型淺表萎縮慢性胃炎
萎縮淺表性慢性胃炎
萎縮淺表性慢性胃炎
萎縮性的慢性胃炎
萎縮性的慢性胃炎
萎縮性慢性胃炎
萎縮性慢性胃炎
萎縮慢性胃炎
萎縮慢性胃炎
萎縮出血性慢性胃炎
萎縮出血性慢性胃炎
輕型淺錶慢性胃炎
輕型淺錶慢性胃炎
輕型淺表型慢性胃炎
輕型淺表型慢性胃炎
縮的慢性胃炎
縮的慢性胃炎
淺表型慢性胃炎怕
淺表型慢性胃炎怕
淺表型慢性胃炎
淺表型慢性胃炎
淺表型慢性胃炎萎縮
淺表型慢性胃炎萎縮
淺表型糜爛出血慢性胃炎
淺表型糜爛出血慢性胃炎
淺表型糜爛慢性胃炎
淺表型糜爛慢性胃炎
輕型慢性胃炎
輕型慢性胃炎
淺表型慢性胃炎發發
淺表型慢性胃炎發發
淺表型慢性胃炎好
淺表型慢性胃炎好

慢性胃炎相關問答

A:慢性胃竇炎的主要是幽門螺桿菌引起的,看上去是螺旋狀、有鞭毛,主要寄居在人胃竇黏膜下。細菌可以產生毒素保護本身,會引起胃黏膜的炎症反應,引起慢性胃竇炎甚至慢性胃炎。慢性胃竇炎的時候一定要查幽門螺桿菌,如果幽門螺桿菌陽性就要進行根除治療,才會更……
A:胃上有息肉時,通常患者身上是沒有任何症狀的。出現息肉主要是慢性胃炎刺激所導致的。患者這時首先要控制好胃炎的情況,才會減少息肉的出現。如果息肉比較大,需要儘早地進行微創手術去除,主要是為了避免發生病變的情況。患者平時要注意儘量別吃酸辣的食物,……
A:如果總是乾嘔且想吐,一方面可能是有慢性胃炎,同時也可能是有胃腸型感冒,或者是有肝炎膽囊等疾病所導致出現的症狀,需要進一步明確具體原因。可以進行血常規的化驗、肝膽的彩超檢查以及胃鏡的檢查等明確原因,隨後針對性地進行對症治療。這時患者要保持流質……
A:如果長期飯後胃脹,考慮慢性胃炎的可能性大,慢性胃炎的主要症狀有上腹痛或者不適、腹脹、早飽、噁心、噯氣,甚至嘔吐等消化道不良的症狀。建議可以去醫院完善胃腸鏡、大便常規等檢查,排除其他器質性疾病。如果是慢性胃炎,可以口服抑酸藥、修復胃黏膜藥。同……
A:出現噁心、嘔吐和胃部不舒服,應該是慢性胃炎,發病的原因多與患者的受涼和飲食不規律等因素有關,表現為食慾不振、噁心、乾嘔和消瘦、乏力等不適,可以去醫院進行胃鏡檢查和碳十四呼氣試驗檢查,檢查一下有沒有幽門螺桿菌的感染,如果有幽門螺桿菌感染就要在……
A:上腹疼痛脹氣,考慮是慢性胃炎、胃潰瘍、12指腸潰瘍等導致出現的症狀,需要進行胃鏡檢查或者鋇餐檢查明確診斷。在飲食上注意不要吃酸辣的食物,不要暴飲暴食,需要應用抑制胃酸的藥物,例如蘭索拉唑,配合應用保護胃腸粘膜和增加胃腸動力的藥物進行調理,例……
A:吸氣時左面肚子痛考慮是否是軟組織損傷,近期是否受過外傷,可以按壓一下,是否有疼痛感,局部有無紅腫熱痛等炎症表現;或者是消化道系統器質性疾病引起的疼痛,建議清淡飲食,避免進食刺激性油膩食物,可以去醫院做個胃鏡檢查,明確有無胃部有無器質性病變,……
A:奧美拉唑這種藥物屬於質子泵抑制劑,可以起到抑制胃酸分泌的作用。需要在飯前服用,臨床主要用於慢性胃炎、十二指腸潰瘍、胃潰瘍以及胃酸反流症等疾病。也可用於應急狀態導致的胃粘膜出血,或者是非甾體類抗炎鎮痛的藥物刺激胃腸道引起的胃疼等症狀。如果有實……

慢性胃炎相關醫院推薦

桃園市龜山區復興街5號
醫療中心
臺中市西屯區臺灣大道四段1650號
榮民醫院
台南市北區勝利路138號
大學附設醫院
臺北市北投區石牌路二段201號
榮民醫院
臺北市內湖區內湖路二段360號
大學附設醫院
臺北市中正區中山南路7號
大學附設醫院