聲帶息肉

聲帶息肉症狀、原因、治療與預防保健 · 聲帶息肉完整疾病指南 · 聲帶息肉專業就醫指南

聲帶息肉就診指南

掛號科室:
常見症狀:
聲嘶
好發人群:
所有人羣
是否遺傳:
無傳染性
是否傳染:
無遺傳性
發病部位:
咽喉
相關檢查:
喉鏡檢查、CT、MRI檢查

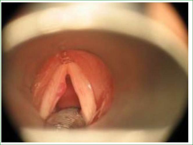
聲帶息肉圖片

左聲帶息肉保守治療前的
左聲帶息肉保守治療前的
左聲帶息肉
左聲帶息肉
治療聲帶息肉手術
治療聲帶息肉手術
早治療聲帶息肉預防癌變
早治療聲帶息肉預防癌變
右聲帶息肉
右聲帶息肉
要重視聲帶息肉的防治
要重視聲帶息肉的防治
咽喉聲帶息肉
咽喉聲帶息肉
小兒聲帶息肉
小兒聲帶息肉
咽喉聲帶息肉的
咽喉聲帶息肉的
下支撐喉鏡聲帶息肉切除
下支撐喉鏡聲帶息肉切除

聲帶息肉相關問答

A:患者出現聲帶息肉的病情狀況時,吃藥是否可以消掉,需要根據病情來定,說明如下:1、可以消掉:如果聲帶息肉體積比較小,有可能能夠通過吃藥的治療方式,將聲帶息肉逐步減小,甚至完全治癒。患者常常需要口服有清喉、開音、散結功效的中成藥物,比如甘桔冰……
A:聲帶息肉手術是在全身麻醉下支撐喉鏡,通過顯微鏡以及顯微器械來切除聲帶的息肉,屬於微創手術。一般術後六個小時既可以進食、進水,可以下床活動,身體基本恢復正常狀態。在一週之內要進行禁聲,同時做霧化吸入,術後一週可以出院。同時要進行飲食的調整,禁……
A:聲帶息肉是良性的病變,本身應該不會癌變的。如果長期的炎性刺激下或者是致癌因素的影響下,有可能會繼發癌變,可能在沒有聲帶息肉的基礎下,也有可能會有癌變,所以和聲帶息肉的關係並不是太大。現在息肉的治療,如果是比較小的息肉或者是初發的息肉,可以通……
A:患者出現聲帶息肉的病情時,黃氏響聲丸或者金嗓散結丸都可以選擇使用,都能夠對聲帶黏膜的急慢性炎症,以及充血、腫脹的狀況,還有息肉隆起的狀況有一定的治療效果。如果患者聲帶息肉體積相對比較小,在經過一段時間的藥物治療以後,如果能夠做到嚴格的禁聲……
A:聲帶息肉一旦確診多采用手術切除,手術費用一般在一萬元左右,其中包括全麻、全麻下纖維喉鏡、激光或者等離子手術切除,也包括入院檢查、住院等等各種費。聲帶息肉是臨床上常見的疾病,好發於一側或雙側聲帶遊離緣前中1/3處,為半透明、白色或粉紅色表面光……
A:患者出現聲音嘶啞的症狀,常常是由於喉部聲帶黏膜的急慢性炎症性因素所導致,針對這種症狀,常見處理措施如下:1、中成藥物:患者在治療上需要相應的使用有清喉開音效果的中成藥物,常用的包括黃氏響聲丸、甘桔冰梅片、金嗓開音丸等等,能夠幫助改善或減輕……
A:在聲帶息肉手術以後,術後的第二天患者還是會出現聲音嘶啞的症狀,主要是因為患者的聲帶黏膜仍然存在一定程度的充血、腫脹的表現。其實每個患者在手術前聲帶息肉的形態都有較大差別,聲帶實質本身炎症、充血、腫脹的狀態也會有一定的個體差異,有的患者聲帶……
A:咽喉部的息肉一般好發於聲帶,主要位於聲帶的前1/3處,造成息肉的原因是由於發聲不當,或者是發聲用力、經常說話,比如一些特殊的職業,包括教師、歌唱演員等。由於炎症的慢性刺激所造成的局部的黏膜水腫增生,最後形成息肉,聲帶息肉主要的症狀是聲音的改……

聲帶息肉相關醫院推薦

桃園市龜山區復興街5號
醫療中心
臺中市西屯區臺灣大道四段1650號
榮民醫院
台南市北區勝利路138號
大學附設醫院
臺北市北投區石牌路二段201號
榮民醫院
臺北市內湖區內湖路二段360號
大學附設醫院
臺北市中正區中山南路7號
大學附設醫院