台灣醫典百科
首頁
疾病百科
藥品查詢
醫院診所
藥局地圖
名醫推薦
健康專欄
問答
橋本甲狀腺炎
橋本甲狀腺炎症狀、原因、治療與預防保健 · 橋本甲狀腺炎完整疾病指南 · 橋本甲狀腺炎專業就醫指南
橋本甲狀腺炎就診指南
掛號科室:
內分泌科
常見症狀:
瀰漫性腫大、隱痛
好發人群:
所有人羣
是否遺傳:
無傳染性
是否傳染:
無遺傳性
發病部位:
頸部
相關檢查:
甲狀腺功能測定
橋本甲狀腺炎圖片
橋本甲狀腺炎腫大治療前後
橋本甲狀腺炎左右頁結節
橋本甲狀腺炎腫大初期
橋本甲狀腺炎腫大嚴重
橋本甲狀腺炎早期治療
橋本甲狀腺炎症狀手術
橋本甲狀腺炎症狀
橋本甲狀腺炎治療
橋本甲狀腺炎治療中
橋本甲狀腺炎中期症狀
橋本甲狀腺炎嚴重腫大
橋本甲狀腺炎醫療檢查
橋本甲狀腺炎有結節
橋本甲狀腺炎右葉結節
橋本甲狀腺炎與結節
橋本甲狀腺炎與脫髮
橋本甲狀腺炎早期症狀
橋本甲狀腺炎疼痛
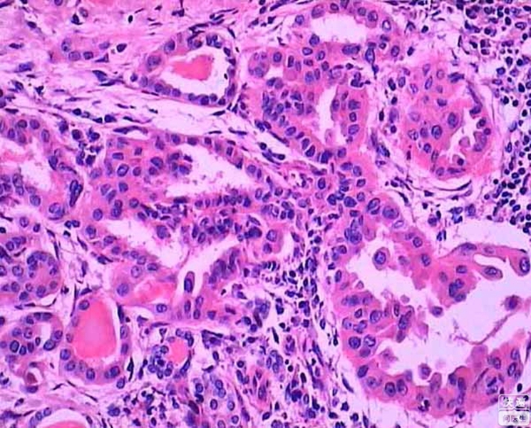
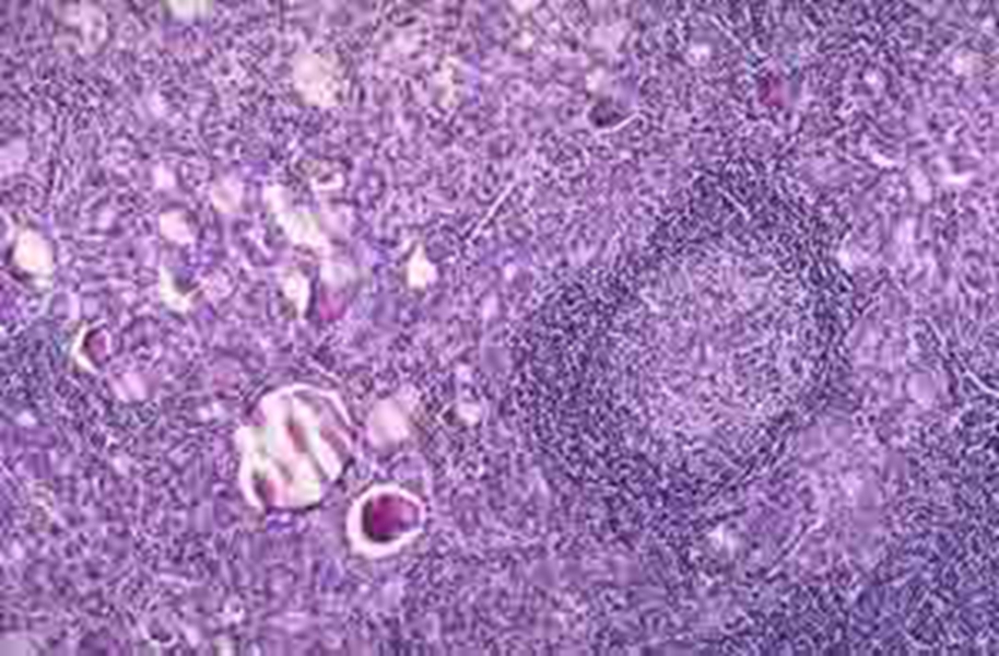
橋本甲狀腺炎細胞查看
橋本甲狀腺炎細胞
橋本甲狀腺炎相關文章
橋本甲狀腺炎能活多久
2023-12-30
橋本甲狀腺炎嚴重嗎
2023-09-11
橋本甲狀腺炎忌口十項
2023-06-14
Ft3偏低
2023-06-02
45歲女子查出橋本甲狀腺炎,這幾種藥物治療後顯療效
2023-03-11
什麼是橋本氏甲狀腺炎
2023-03-02
什麼是橋本氏甲狀腺炎
2023-06-28
夏枯草能治橋本氏甲狀腺炎嗎
2023-11-20
查看更多文章
橋本甲狀腺炎相關問答
Q:橋本甲狀腺炎能自愈嗎
A:橋本甲狀腺炎通常並不能自愈,橋本甲狀腺炎是自身免疫性甲狀腺炎裡面最常見的一種,是免疫系統不認識甲狀腺的某些成分,把甲狀腺球蛋白或甲狀腺微粒體認為是敵人產生了防禦反應,誤傷甲狀腺,造成甲狀腺增大,萎縮甲狀腺功能,逐漸的減退,出現甲狀腺合成分泌……
Q:橋本甲狀腺炎症狀有哪些症狀
A:橋本甲狀腺炎在早期是沒有症狀的,只是在體檢時發現有抗體的升高,包括甲狀腺球蛋白抗體、微粒體抗體。隨著病變的發展,淋巴細胞逐漸代替甲狀腺細胞而發生甲狀腺功能減退症,這時患者可以出現記憶力減退、嗜睡、乏力、關節疼痛、體重增加,吃少量的食物也在增……
Q:甲狀腺橋本氏病嚴重嗎
A:橋本甲狀腺炎在甲狀腺的各種疾病中,屬於比較容易治療的疾病。橋本氏甲狀腺炎的發病機制,是機體針對甲狀腺產生的自身抗體,包括甲狀腺球蛋白抗體、甲狀腺微粒體抗體。病變的發生使得甲狀腺組織,逐漸由淋巴細胞所代替,最終導致甲狀腺激素合成分泌減少,機體……
Q:橋本式甲狀腺炎怎麼辦
A:如果出現不舒服也分不清楚到底是不是橋本氏甲狀腺炎在進展,可以去醫院和醫生進行溝通,如果橋本氏甲狀腺炎出現了甲狀腺功能減退醫生會進行左甲狀腺素來替代治療,在治療期間定期複查甲狀腺激素水平維持正常,不能擅自的減藥和停藥。橋本氏甲狀腺炎診斷以後不……
Q:橋本病能要孩子嗎
A:橋本病患者可以要孩子,建議患者在備孕的時候,及時到醫院完善甲功的檢查。患者需要在備孕期把促甲狀腺激素(TSH)調整到2.5μIU/ml以下,再準備懷孕相對來說比較好。如果在備孕過程中發現懷孕,應及時到醫院完善甲功,整個孕期都要每個月監測甲……
Q:橋本甲狀腺炎對女性的危害
A:橋本甲狀腺炎對女性的危害,常見危害如下:1、甲狀腺體積異常:橋本甲狀腺炎可以導致女性出現甲狀腺體積的異常,出現脖子增粗、甲狀腺體積增大。這時在影像學上可以觀察到甲狀腺呈現瀰漫性的病變,在組織病理學上主要表現為大量淋巴細胞浸潤;2、甲狀腺……
Q:橋本氏甲狀腺炎遺傳嗎
A:橋本氏甲狀腺炎有一定的遺傳傾向,但不是顯性遺傳,就像糖尿病一樣,如果父母一方有糖尿病,子代發生糖尿病的機會就會增多,但子女不是肯定發生糖尿病。橋本氏甲狀腺炎也是這樣,父母中如果有橋本氏甲狀腺炎的病史,子女發生此病的幾率會高。橋本氏甲狀腺炎是……
Q:橋本氏病是什麼病
A:橋本氏病是指慢性淋巴細胞性甲狀腺炎,也是甲狀腺的一種自身免疫性疾病,是機體以甲狀腺為抗原產生了自身的抗體,可出現甲狀腺球蛋白抗體或者是甲狀腺微粒體抗體的升高。病變的發展過程中,淋巴細胞逐漸代替了甲狀腺細胞,最終發生甲狀腺功能減退症。橋本氏病……
查看更多問答
橋本甲狀腺炎相關醫院推薦
長庚醫療財團法人林口長庚紀念醫院
桃園市龜山區復興街5號
醫療中心
臺中榮民總醫院
臺中市西屯區臺灣大道四段1650號
榮民醫院
國立成功大學醫學院附設醫院
台南市北區勝利路138號
大學附設醫院
臺北榮民總醫院
臺北市北投區石牌路二段201號
榮民醫院
中國醫藥大學附設醫院臺北分院
臺北市內湖區內湖路二段360號
大學附設醫院
國立臺灣大學醫學院附設醫院
臺北市中正區中山南路7號
大學附設醫院
查看更多醫院
橋本甲狀腺炎相關醫師推薦
李永在
振興醫療財團法人振興醫院
高憲立
國立臺灣大學醫學院附設醫院
伍偉華
振興醫療財團法人振興醫院
陳宜君
國立臺灣大學醫學院附設醫院
楊尚峯
振興醫療財團法人振興醫院
黃瑞仁
國立臺灣大學醫學院附設醫院
查看更多醫師
相關藥品
特飛立 注射劑 10毫克毫升
適用於治療先前曾接受至少四線療法(包括一種蛋白酶體抑制劑、一種免疫調節劑和一種抗CD38單株抗體)的復發性或難治性多發性骨髓瘤成人病人。
“光南”抗敏寧錠(延胡索酸可利汀)
緩解過敏性鼻炎、枯草熱所引起之相關症狀(流鼻水、打噴嚏、眼睛及喉部搔癢)及過敏所引起之搔癢、皮膚癢疹。
度他雄胺
良性攝護腺增生之治療;雄性素致效劑。
邁舒丁眼藥水
急性、亞急性結膜炎、流行性結膜炎、角膜結合膜炎、毛囊結膜炎、緣角膜炎、再發性瞼腺炎、角膜受傷後之處理、砂眼、泡疹狀角膜炎
鐵士得朗針
男性荷爾蒙缺乏症、前立腺肥大、更年期障礙
×