台灣醫典百科
首頁
疾病百科
藥品查詢
醫院診所
藥局地圖
名醫推薦
健康專欄
問答
脂肪瘤
脂肪瘤症狀、原因、治療與預防保健 · 脂肪瘤完整疾病指南 · 脂肪瘤專業就醫指南
脂肪瘤就診指南
掛號科室:
一般外科
常見症狀:
腫塊
好發人群:
所有人羣
是否遺傳:
無傳染性
是否傳染:
無遺傳性
發病部位:
皮膚
相關檢查:
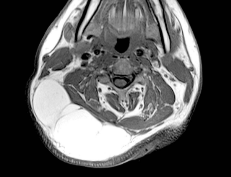
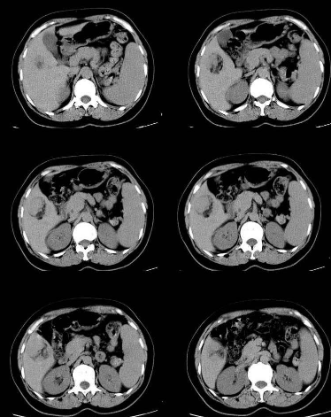
B超、CT、MRI檢查
脂肪瘤圖片
脂肪瘤
脂肪瘤
脂肪瘤
脂肪瘤
脂肪瘤
脂肪瘤
脂肪瘤
脂肪瘤
脂肪瘤
脂肪瘤
脂肪瘤
脂肪瘤
脂肪瘤
脂肪瘤
脂肪瘤
脂肪瘤
脂肪瘤
脂肪瘤
脂肪瘤
脂肪瘤
脂肪瘤相關文章
腳面凸起一個不痛不癢的包塊
2023-02-08
小腸脂肪瘤導致腹部不適,積極手術消除症狀!
2023-12-10
69歲老先生查出脂肪瘤,及時手術完整切除病情恢復
2023-07-21
皮下脂肪瘤能治好嗎
2023-08-17
脂肪瘤會不會影響懷孕
2023-09-13
胸部長脂肪瘤要不要緊
2023-11-15
椎管內脂肪瘤能治癒嗎
2023-03-03
頭皮脂肪瘤手術步驟
2023-12-27
查看更多文章
脂肪瘤相關問答
Q:脂肪瘤看什麼科
A:脂肪瘤是常見的良性腫瘤,主要特點是生長速度比較緩慢、邊界比較清楚、有完整的包膜,不會出現擴散和淋巴結的轉移。脂肪瘤可以生長在身體的各個部位,不但可以生長在人體的表面,還可以生長在人體的內臟、內部的各個器官,表面的脂肪瘤病人通過手術切除是可以……
Q:皮下脂肪瘤怎麼治療
A:皮下脂肪瘤是常見的一類良性腫瘤,臨床上十分常見。對於皮下脂肪瘤,比較小的脂肪瘤可以不用治療,因為皮下脂肪瘤對身體沒有什麼影響,一般的病人沒有症狀,也不會出現疼痛。對於皮下脂肪瘤體積比較大的病人可以進行手術治療,治療皮下脂肪瘤唯一的辦法就是……
Q:脂肪瘤如何消除
A:脂肪瘤通過吃藥、打針的辦法是不能消除的,只有通過手術切除才能徹底的根治脂肪瘤。脂肪瘤是人體脂肪組織異常增生引起的一種疾病,常常位於體表的脂肪層內,它可以分佈在全身各個地方。脂肪瘤本身可以呈現膨脹性生長,如果較大會產生壓迫或者是其他的相關症狀……
Q:脂肪瘤手術後多久恢復
A:脂肪瘤是常見的良性腫瘤,可以生長在人身的各個部位。生長在體表的脂肪瘤比較常見,一般情況下通過手術切除可以治癒,手術後1-2周可以恢復。但是生長在重要部位的血管瘤、脂肪瘤,雖然是良性腫瘤,但是手術不容易完全的切除乾淨,手術後腫瘤容易復發。比較……
Q:脂肪瘤會自己消失嗎
A:脂肪瘤是常見的一類良性腫瘤,是不會自己消失的,因為脂肪瘤形成的腫瘤,一般會慢慢生長,體積會慢慢的變大,不可能自己消失或者變小的。脂肪瘤的特點是生長速度比較緩慢,邊界比較清楚,有完整的包膜。脂肪瘤主要的成分是脂肪組織和纖維結締組織,脂肪瘤的……
Q:乳房脂肪瘤怎麼治療
A:乳房脂肪瘤是良性腫瘤,在乳房位置可以長,在身體的其他位置也可以長。乳房的脂肪瘤常常其實可能是多發的,在別的地方可能也能摸得到,常常是比較軟的,比較光滑,而且可能還有一定的活動度。可以做觀察,不用非要做治療,如果是要長的比較大或者長得比較快,……
Q:脂肪瘤會疼嗎
A:由於脂肪瘤可以形成膨脹性生長,如果壓迫了周圍的神經,可以導致局部的疼痛感。脂肪瘤是人體脂肪組織異常增生引起的一種疾病,脂肪瘤一般位於皮下脂肪層,而且經研究發現脂肪瘤一般不會呈現惡性表現,它可以長期的存在體內。有時候脂肪瘤生長在特殊部位可以影……
Q:什麼是脂肪瘤
A:脂肪瘤是一種常見的良性腫瘤,它可發生於任何有脂肪的部位,而且和患者的胖瘦沒有直接的關係。脂肪瘤屬於外科或者是皮膚科以及美容科的相關疾病,生長於軀幹、四肢以及腹壁、腹腔等等。它的主要表現為局部出現一個質軟的包塊,邊界較為清晰。脂肪瘤的最大危害……
查看更多問答
脂肪瘤相關醫院推薦
長庚醫療財團法人林口長庚紀念醫院
桃園市龜山區復興街5號
醫療中心
臺中榮民總醫院
臺中市西屯區臺灣大道四段1650號
榮民醫院
國立成功大學醫學院附設醫院
台南市北區勝利路138號
大學附設醫院
臺北榮民總醫院
臺北市北投區石牌路二段201號
榮民醫院
中國醫藥大學附設醫院臺北分院
臺北市內湖區內湖路二段360號
大學附設醫院
國立臺灣大學醫學院附設醫院
臺北市中正區中山南路7號
大學附設醫院
查看更多醫院
脂肪瘤相關醫師推薦
何明志
國立臺灣大學醫學院附設醫院
查看更多醫師
相關藥品
特飛立 注射劑 10毫克毫升
適用於治療先前曾接受至少四線療法(包括一種蛋白酶體抑制劑、一種免疫調節劑和一種抗CD38單株抗體)的復發性或難治性多發性骨髓瘤成人病人。
“光南”抗敏寧錠(延胡索酸可利汀)
緩解過敏性鼻炎、枯草熱所引起之相關症狀(流鼻水、打噴嚏、眼睛及喉部搔癢)及過敏所引起之搔癢、皮膚癢疹。
度他雄胺
良性攝護腺增生之治療;雄性素致效劑。
邁舒丁眼藥水
急性、亞急性結膜炎、流行性結膜炎、角膜結合膜炎、毛囊結膜炎、緣角膜炎、再發性瞼腺炎、角膜受傷後之處理、砂眼、泡疹狀角膜炎
鐵士得朗針
男性荷爾蒙缺乏症、前立腺肥大、更年期障礙
×