台灣醫典百科
首頁
疾病百科
藥品查詢
醫院診所
藥局地圖
名醫推薦
健康專欄
問答
胃癌
胃癌症狀、原因、治療與預防保健 · 胃癌完整疾病指南 · 胃癌專業就醫指南
胃癌就診指南
掛號科室:
胃腸外科
常見症狀:
疼痛、體重減輕
好發人群:
50歲以上
是否遺傳:
無傳染性
是否傳染:
有遺傳幾率
發病部位:
上腹
相關檢查:
X線鋇餐、纖維胃鏡檢查
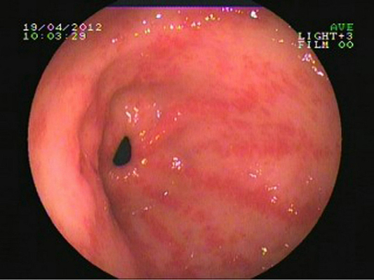
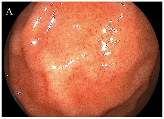
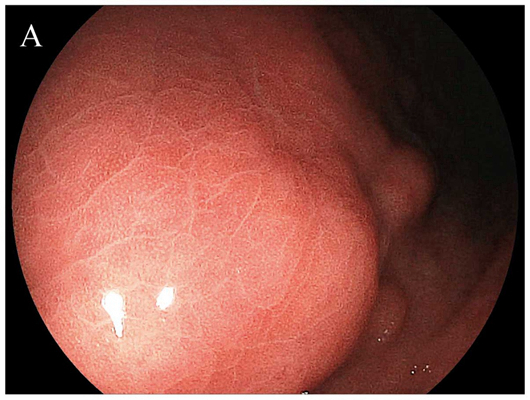
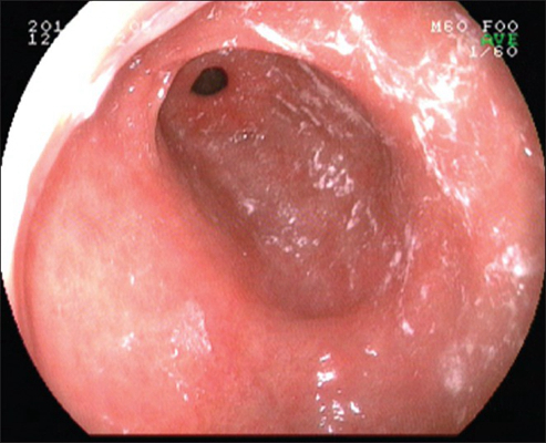
胃癌圖片
胃癌
胃癌
胃癌
胃癌
胃癌
胃癌
胃癌
胃癌
胃癌
胃癌
胃癌
胃癌
胃癌
胃癌
胃癌
胃癌
胃癌
胃癌
胃癌
胃癌
胃癌相關文章