台灣醫典百科
首頁
疾病百科
藥品查詢
醫院診所
藥局地圖
名醫推薦
健康專欄
問答
陰莖癌
陰莖癌症狀、原因、治療與預防保健 · 陰莖癌完整疾病指南 · 陰莖癌專業就醫指南
陰莖癌就診指南
掛號科室:
腫瘤外科
常見症狀:
丘疹、潰瘍
好發人群:
男性
是否遺傳:
無傳染性
是否傳染:
無遺傳性
發病部位:
生殖
相關檢查:
男科檢查、CT、MRI
陰莖癌圖片
得了陰莖癌有哪些症狀
男性的陰莖癌
男人陰莖癌
早期陰莖癌有什麼症狀
早期陰莖癌症狀
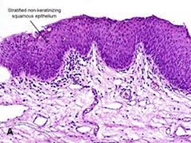
早期陰莖癌圖例解析
早期陰莖癌細胞圖的
早期陰莖癌細胞圖
陰莖癌治療
陰莖癌自查
早期的陰莖癌的圖解
早期的陰莖癌圖解
早期陰莖癌的圖解的
早期陰莖癌的
早期陰莖癌的症狀
早期陰莖癌手術
早期陰莖癌圖解症狀
陰莖癌手術重建陰莖和尿道
陰莖癌術後護理
陰莖癌圖解
陰莖癌相關文章
陰莖癌轉移的症狀
2023-11-25
陰莖癌怎麼檢查
2023-08-15
陰莖癌的自我檢查方法
2023-03-20
怎麼查出陰莖癌
2023-11-12
陰莖癌會危及生命嗎
2023-05-17
陰莖癌的異常表現及預防
2023-05-05
陰莖癌的早期症狀有哪些
2023-07-16
陰莖癌晚期症狀有哪些
2023-08-03
查看更多文章
陰莖癌相關問答
Q:陰莖癌術後能生育嗎
A:陰莖癌手術後與生育功能本身沒有必然聯繫,也就是說陰莖癌術後還是能生育的。陰莖癌一般根據癌腫的大小和部位可以行包皮腫瘤切除術、陰莖部分切除術和陰莖全切除術。單純的包皮腫瘤切除術和陰莖部分切除術一般還能保留性功能和射精功能,如果精液質量正常,那……
Q:陰莖癌早期症狀有哪些
A:陰莖癌是常見的陰莖腫瘤,其發病與包莖和包皮過長有密切關係,特別是包莖,包皮垢淤積於包皮腔內,常伴有慢性感染,長期刺激使局部發生癌變。多見於中年以後,早期病變常常隱匿在包皮內而被忽略。早期症狀可以表現為丘疹,疣狀物,潰瘍,繼而糜爛,可觸及包皮……
Q:陰莖癌怎樣治療
A:目前陰莖癌的治療主要是手術治療、化療和放療。對於腫瘤侷限沒有出現遠處轉移的的主要是通過保留陰莖治療(包括單純包皮環切手術、局部激光治療和放療)、陰莖部分切除術、對於有區域淋巴結轉移的需要行淋巴清掃術,最常見的是腹股溝淋巴結活檢和腹股溝清掃術……
查看更多問答
陰莖癌相關醫院推薦
長庚醫療財團法人林口長庚紀念醫院
桃園市龜山區復興街5號
醫療中心
臺中榮民總醫院
臺中市西屯區臺灣大道四段1650號
榮民醫院
國立成功大學醫學院附設醫院
台南市北區勝利路138號
大學附設醫院
臺北榮民總醫院
臺北市北投區石牌路二段201號
榮民醫院
中國醫藥大學附設醫院臺北分院
臺北市內湖區內湖路二段360號
大學附設醫院
國立臺灣大學醫學院附設醫院
臺北市中正區中山南路7號
大學附設醫院
查看更多醫院
陰莖癌相關醫師推薦
查看更多醫師
相關藥品
特飛立 注射劑 10毫克毫升
適用於治療先前曾接受至少四線療法(包括一種蛋白酶體抑制劑、一種免疫調節劑和一種抗CD38單株抗體)的復發性或難治性多發性骨髓瘤成人病人。
“光南”抗敏寧錠(延胡索酸可利汀)
緩解過敏性鼻炎、枯草熱所引起之相關症狀(流鼻水、打噴嚏、眼睛及喉部搔癢)及過敏所引起之搔癢、皮膚癢疹。
度他雄胺
良性攝護腺增生之治療;雄性素致效劑。
邁舒丁眼藥水
急性、亞急性結膜炎、流行性結膜炎、角膜結合膜炎、毛囊結膜炎、緣角膜炎、再發性瞼腺炎、角膜受傷後之處理、砂眼、泡疹狀角膜炎
鐵士得朗針
男性荷爾蒙缺乏症、前立腺肥大、更年期障礙
×