骨折

骨折症狀、原因、治療與預防保健 · 骨折完整疾病指南 · 骨折專業就醫指南

骨折就診指南

掛號科室:
常見症狀:
畸形、異常活動
好發人群:
兒童、老人
是否遺傳:
無傳染性
是否傳染:
無遺傳性
發病部位:
骨骼
相關檢查:
X線、CT、MRI檢查

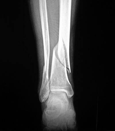
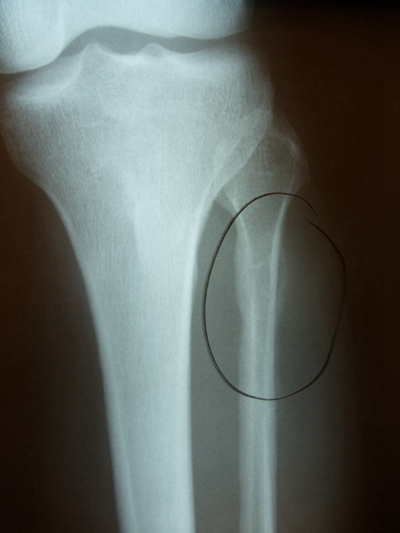
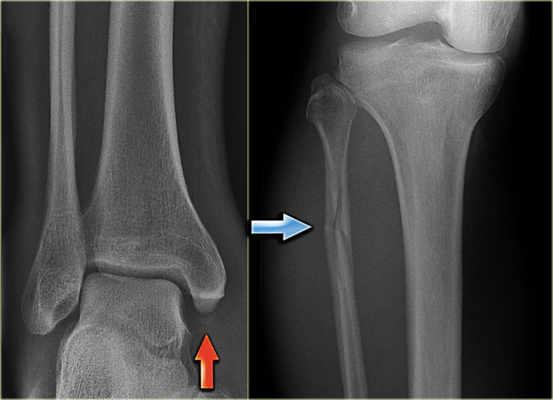
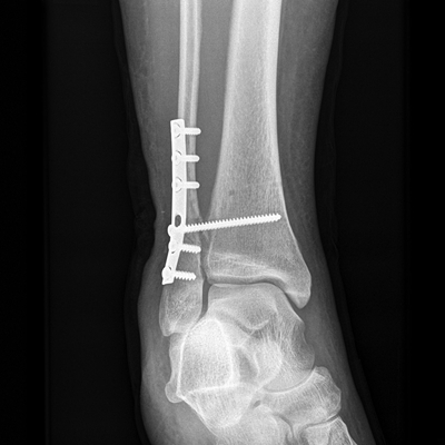
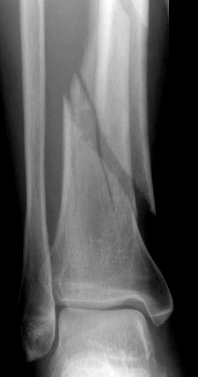
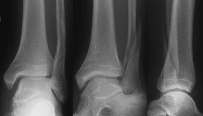
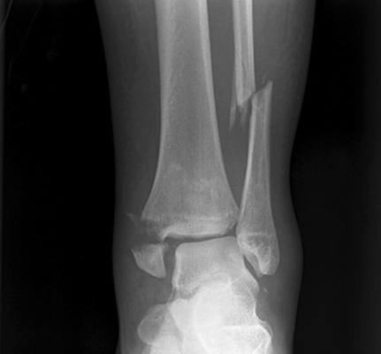
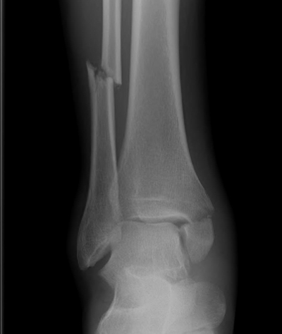
骨折圖片

骨裂
骨裂
骨裂
骨裂
骨裂
骨裂
骨裂
骨裂
骨裂
骨裂
骨裂
骨裂
骨裂
骨裂
骨裂
骨裂
骨裂
骨裂
骨裂
骨裂
骨裂
骨裂
骨裂
骨裂
骨裂
骨裂
骨裂
骨裂
骨裂
骨裂
骨裂
骨裂
骨裂
骨裂
骨裂
骨裂
骨裂
骨裂
骨裂
骨裂

骨折相關問答

A:對於骨折癒合過程當中多久會有骨痂,也就是骨骼骨組織的形成,先從骨折的生理癒合的過程來說,當骨折以後,將癒合的過程通常分為三期,第一期是從骨折後到前兩週,這兩週之內主要是血腫機化演進期,在這兩週之內主要是有些骨折斷端會有些出血,形成血腫,這兩……
A:怎麼判斷是不是骨折?臨床當中對於骨折的確診還是根據患者起病的病因,然後臨床表現、體徵及影像學結果等綜合因素來決定。骨折是由於外傷等其他應力條件下,導致骨的皮質連續性中斷而形成骨折。所以患者有無骨折,可以從以下方面判斷:第一、要問患者的病因……
A:手腕骨折最佳鍛鍊時間,手腕骨折是中老年人損傷或者骨折的常見部位,也是骨質疏鬆骨折比較常見的類型。一般來說,手腕骨折多是由於直接應力,或者是間接應力傳導所導致。最常見的損傷機制是當跌倒時手腕撐地,力傳導到手腕引起腕關節骨折。根據骨折類型、形態……
A:最難好的骨折部位可能主要是問有沒有不容易恢復的骨折部位,實際上臨床當中被認為有三個部位的骨折是比較難癒合的,也就是說這三個部位的骨折在愈合起來會有一定的困難,相對其他部位骨折容易發生骨折不癒合或者缺血壞死的情況,具體如下:第一、股骨頸的骨……
A:輕微骨折一般需要兩個月左右的時間才能夠好。輕微骨折是指骨折斷端沒有明顯移位的骨折、裂紋骨折,或者部分皮質斷裂的骨折。這類骨折由於損傷比較輕微並且沒有移位,往往不需要手法復位,也不需要手術治療,一般給予石膏或者支具固定即可,一般固定需要6-……
A:腓骨是人體中小腿骨中比較細的一根骨骼,它的負重比較少,一般腓骨近端的骨折都伴有脛骨的骨折,也可能伴有踝關節的骨折。單純的腓骨近端骨折一般不需要手術,腓骨的近端有腓總神經纏繞,離腓總神經非常的近,所以如果手術的話很容易損傷腓總神經,造成足下垂……
A:腳趾骨折一個星期不可以拆石膏。腳趾骨折以後癒合時間一般要4-6周的時間,4-6周腳趾頭才可能骨折癒合,此時才可以拆除石膏,如果過早拆除石膏可能導致骨折斷端移位的情況。腳趾骨折一個星期,骨折斷端還沒有骨痂生長,此時如果拆除石膏,可能會導致骨……
A:橈骨骨折要想提重物,一般要等到骨折癒合以後,骨折癒合的時間大概是兩個月左右的時間。橈骨骨折在臨床上是比較常見的骨折,骨折以後應根據骨折的情況選擇治療方法,可以進行保守治療,也可以採取手術治療。保守治療主要是針對骨折移位不是很嚴重的穩定性骨折……

骨折相關醫院推薦

桃園市龜山區復興街5號
醫療中心
臺中市西屯區臺灣大道四段1650號
榮民醫院
台南市北區勝利路138號
大學附設醫院
臺北市北投區石牌路二段201號
榮民醫院
臺北市內湖區內湖路二段360號
大學附設醫院
臺北市中正區中山南路7號
大學附設醫院