扁桃體炎

扁桃體炎症狀、原因、治療與預防保健 · 扁桃體炎完整疾病指南 · 扁桃體炎專業就醫指南

扁桃體炎就診指南

掛號科室:
常見症狀:
畏寒、高熱
好發人群:
所有人羣
是否遺傳:
是否傳染:
無遺傳性
發病部位:
咽喉
相關檢查:
尿常規

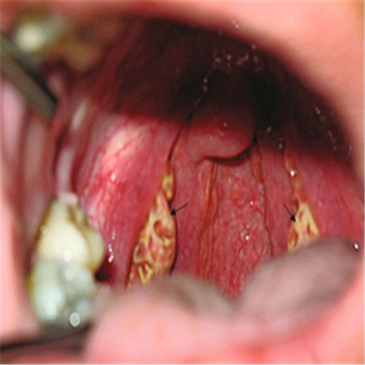
扁桃體炎圖片

扁桃體腫大
扁桃體腫大
扁桃體腫大
扁桃體腫大
扁桃體腫大
扁桃體腫大
扁桃體腫大
扁桃體腫大
扁桃體腫大
扁桃體腫大
扁桃體腫大
扁桃體腫大
扁桃體腫大
扁桃體腫大
扁桃體腫大
扁桃體腫大
扁桃體腫大
扁桃體腫大
扁桃體腫大
扁桃體腫大
扁桃體腫大
扁桃體腫大
扁桃體腫大
扁桃體腫大
扁桃體腫大
扁桃體腫大
扁桃體腫大
扁桃體腫大
扁桃體腫大
扁桃體腫大
扁桃體腫大
扁桃體腫大
扁桃體腫大
扁桃體腫大

扁桃體炎相關問答

A:扁桃體發炎分為急性扁桃體炎和慢性扁桃體炎,急性扁桃體炎根據病因有分為細菌感染導致的、病毒感染導致的,還有理化因素的刺激引起的。理化因素刺激引起的急性扁桃體炎,在病因去除之後症狀就會明顯緩解,可以結合霧化吸入的治療。對於細菌感染引起的急性扁……
A:患者出現扁桃體發炎的病情狀況導致發燒40℃,病變程度比較重,需要引起重視,不能耽誤治療。患者需要及時到醫院就診檢查,詳細的查看扁桃體發炎的具體程度,以及是否合併有扁桃體周圍炎、扁桃體周圍膿腫等併發症的情況,是否出現炎症進一步向下蔓延到喉部……
A:寶寶扁桃體發炎多喝水能自愈嗎?一般扁桃體發炎通過多喝水是不能夠自愈的,因為扁桃體多數的發炎是因為細菌感染引起的。常見的細菌有溶血性鏈球菌和葡萄球菌,除了細菌之外,它的分泌產物也會積存在扁桃體內,導致扁桃體出現紅、腫,甚至化膿。一般早期的症狀……
A:化膿性扁桃體炎高熱不退,首先要查找化膿性扁桃體炎高熱不退的原因。化膿性扁桃體炎首選的藥物治療為抗炎藥物治療,常見的為青黴素類或者頭孢類的抗炎藥,如阿莫西林克拉維酸鉀、頭孢克洛、頭孢克肟,以及頭孢類的注射針劑等。具體是選擇口服給藥還是靜脈給藥……
A:扁桃體炎和扁桃腺炎沒有任何區別,只是一個疾病的不同說法而已,都指的是扁桃體發炎。扁桃體發炎會引起咽痛、吞嚥困難,甚至發熱、頭痛、全身的倦怠等一系列的症狀,局部可以有扁桃體的充血、腫脹,表面會有膿性的分泌物。扁桃體炎一般可以分為急性扁桃體炎和……
A:扁桃體發炎是否是感染新型冠狀病毒,首先要明確一點,這兩個之間不能夠平行對待。不是所有的新型冠狀病毒都會表現扁桃體發炎的情況,同時,扁桃體發炎多數是因為感染引起,可能有新型冠狀病毒,但並不多見。新型冠狀病毒是一種病毒,就是引起疾病的原因,扁……
A:小兒化膿性扁桃體炎,常見的原因有以下幾方面:1、細菌感染:主要是以乙型溶血性鏈球菌感染為主,還有非溶血性鏈球菌、葡萄球菌、肺炎球菌、流感桿菌等等,這都是腸間的常見細菌。近年來主要是革蘭氏陰性桿菌的感染有所增多,還有厭氧菌感染也會出現;2……
A:扁桃體的炎症分為急性扁桃體炎和慢性扁桃體炎,急性扁桃體炎根據病因有分為細菌感染引起的、病毒感染引起的,還有理化因素的刺激導致。理化因素刺激引起的急性扁桃體炎,可能會出現咽痛、痰多或者咳嗽等症狀。細菌感染引起的,或者病毒感染引起的急性扁桃體……

扁桃體炎相關醫院推薦

桃園市龜山區復興街5號
醫療中心
臺中市西屯區臺灣大道四段1650號
榮民醫院
台南市北區勝利路138號
大學附設醫院
臺北市北投區石牌路二段201號
榮民醫院
臺北市內湖區內湖路二段360號
大學附設醫院
臺北市中正區中山南路7號
大學附設醫院