齲齒

齲齒症狀、原因、治療與預防保健 · 齲齒完整疾病指南 · 齲齒專業就醫指南

齲齒就診指南

掛號科室:
常見症狀:
齲洞、疼痛
好發人群:
所有人羣
是否遺傳:
無傳染性
是否傳染:
無遺傳性
發病部位:
口腔
相關檢查:
光纖維透照、X線牙片

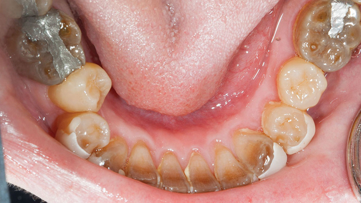
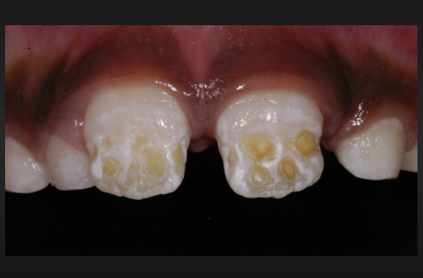
齲齒圖片

蟲牙真實
蟲牙真實
蟲牙真實
蟲牙真實
蟲牙真實
蟲牙真實
蟲牙真實
蟲牙真實
蟲牙真實
蟲牙真實
蟲牙真實
蟲牙真實
蟲牙真實
蟲牙真實
蟲牙真實
蟲牙真實
蟲牙真實
蟲牙真實
蟲牙真實
蟲牙真實
蟲牙真實
蟲牙真實
蟲牙真實
蟲牙真實
蟲牙真實
蟲牙真實
蟲牙真實
蟲牙真實
蟲牙真實
蟲牙真實
蟲牙真實
蟲牙真實
蟲牙真實
蟲牙真實
蟲牙真實
蟲牙真實
蟲牙真實
蟲牙真實
蟲牙真實
蟲牙真實

齲齒相關問答

A:智齒位置很正但是出現了齲壞,應該到正規醫院的口腔科進行檢查。拍攝曲面斷層片,看正位的智齒是否有對頜牙,再進行臨床檢查,看上下頜智齒是否能夠形成良好的咬合關係。如果齲壞的智齒能夠和對頜的智齒形成良好的咬合關係,可以進行齲病的治療,去除齲洞內的……
A:齲病的危害有以下幾點:1、牙齒劈裂,如果齲洞不斷擴大,使得牙冠某些部分變得比較薄弱,在進行咀嚼的時候,有可能會造成牙冠劈裂。2、如果深達牙本質,會造成進食冷熱酸甜食物的時候出現痠痛不適。3、如果繼續擴大達到牙髓腔會引起牙髓的炎症,出現自發性……
A:齲齒傷到牙神經的主要標誌是牙齒的疼痛比較嚴重,並且伴有自發性疼痛的特點,也就是說如果只是有齲齒,齲齒沒有傷到牙神經,牙齒不會有自發性疼痛。如果傷到牙神經,表現為牙齒有自發性、陣發性疼痛,並且牙齒吃冷、熱的東西,會有比較嚴重的弛緩性疼痛,這……
A:齲齒按照發病的情況和進展的速度分為急性齲、慢性齲和繼發齲。如果是急性齲,一般病變進展較快。在咬合面或者是鄰面會形成一個洞。而且洞內的病變組織顏色比較淺,呈淺棕色,質地比較軟,而且溼潤,很容易讓挖匙剔除,所以又稱為溼性齲。如果是慢性齲,一般進……
A:患者洗牙的時候,能夠把牙齒表面的窩溝或者點隙裡的黑色附著色素去除,但是對齲洞裡邊的腐敗、壞死組織不能靠洗牙來去除。如果齲洞裡面有腐敗、壞死組織,呈黑色,需要進行齲洞的治療,一般是用挖匙或者牙鑽去除,直至正常的牙齒硬組織,也就是去除所有的腐敗……
A:齲齒如果出現疼痛,應該及時到正規醫院的口腔科,或者口腔醫院的牙體牙髓病科,找專業的牙體牙髓病學的醫生進行仔細的檢查,看齲齒到底是深齲還是牙髓炎,還是根尖周炎所導致的疼痛。如果是深齲所導致的疼痛應該去齲以後,給予安撫鎮痛的治療,可以給予蓋髓……
A:如果齲洞當中的腐敗、壞死組織沒有清理乾淨,然後進行了充填容易出現繼發齲。齲洞當中有腐敗、壞死組織,在腐敗、壞死組織當中就含有致齲細菌。如果在齲洞的治療過程中,沒有將腐敗、壞死組織去除乾淨,細菌仍然有可能利用口腔當中的食物殘渣、軟垢而產生酸性……
A:齲病應該到正規醫院的口腔科或者大型醫院的牙體牙髓科進行治療,也就是用牙鑽去除齲洞內的腐敗、壞死組織,根據齲洞的深淺決定是否進行墊底。如果齲洞比較深,已經接近牙髓腔,需要先用墊底材料墊底,再用充填材料進行充填。還要進行齲病的控制治療,囑咐病人……

齲齒相關醫院推薦

桃園市龜山區復興街5號
醫療中心
臺中市西屯區臺灣大道四段1650號
榮民醫院
台南市北區勝利路138號
大學附設醫院
臺北市北投區石牌路二段201號
榮民醫院
臺北市內湖區內湖路二段360號
大學附設醫院
臺北市中正區中山南路7號
大學附設醫院